![]() |
![]() |
||
![]() |
![]() |
![]() |
![]() |
![]() |
![]() |
||
Extraction or Root Amputation
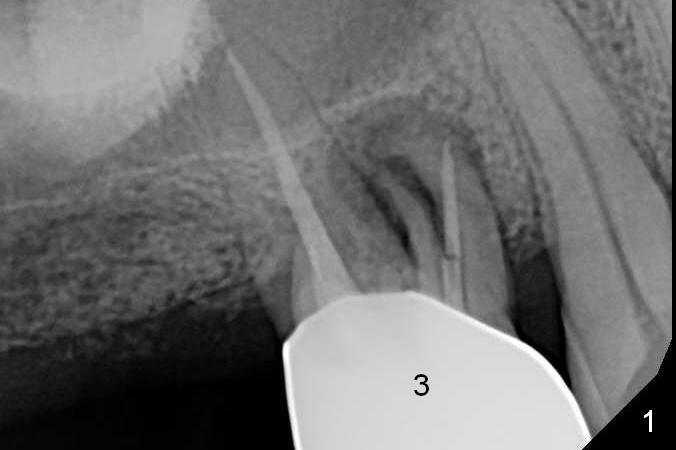
A 56-year-old man has discomfort associated with the tooth #3 one year and a half after root canal therapy (Fig.1: mesiobuccal root vertical fracture). Since an implant is just placed at #19 and another one will be encouraged to be placed at #2 (Fig.2), root amputation may be a valid treatment modality (Fig.3,4). After debridement and Clindamycin topical application, allograft/Osteogen is placed (Fig.5,6 (dashed line)), followed by Osteogen plug (Fig.7 *). Discomfort apparently shifts to the distobuccal root 9 months postop, while the MB defect seems to heal (Fig.8 *). Extraction and implant is expected.
Return to
Upper
Molar Immediate Implant
Xin Wei, DDS, PhD, MS 1st edition 02/21/2017, last revision 12/03/2017