![]() |
![]() |
![]() |
![]() |
![]() |
![]() |
||
4 mm Bone, 6 mm Gingiva
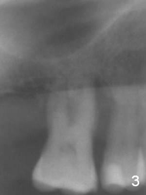
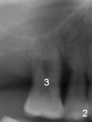
A 44-year-old man requests an implant at #3 because of mobility. It appears that the bone height decreases from 6 mm (Fig.1,2: 3 years ago) to 4 mm (Fig.3,4, recently). After extraction and Clindamycin treatment, take PVS impression of the socket. Use initial drill with drill stopper of 3 mm and round burs with stoppers from 4 to 5 mm. If the buccal (B) and palatal (P) plate defect is severe, use a regular implant. Otherwise use an extra wide one. The advantage of the latter is length as short as 6 mm vs. 8 mm for the regular one. For the latter, 2 mm of the implant will be in the sinus (Fig.4 red box), 4 mm in bone (pink box) and 2 mm in the socket (orange box; to be surrounded by bone graft). Since the gingiva is 6 mm (Fig.4 green box), an abutment with 6 mm cuff should be chosen. To reduce occlusal interference, select abutment height 4 mm.
Recently periodontal abscess occurs with purulent discharge from the buccal sulcus (Fig.5 *) and palatal gingiva erythema and edema (Fig.6 *). The buccal and palatal plates are most likely defective. A small diameter implant should be placed. The infection at #3 may be the cause of failure of implant at #31 (redo).
Return to
Upper
Molar Immediate Implant, Prevent
Molar Periimplantitis (Protocols,
Table), IBS,#28,
31
Xin Wei, DDS, PhD, MS 1st edition 03/08/2017, last revision 01/04/2019