![]() |
![]() |
|
![]() |
![]() |
![]() |
Sinus Lift with Magic Split and Expanders
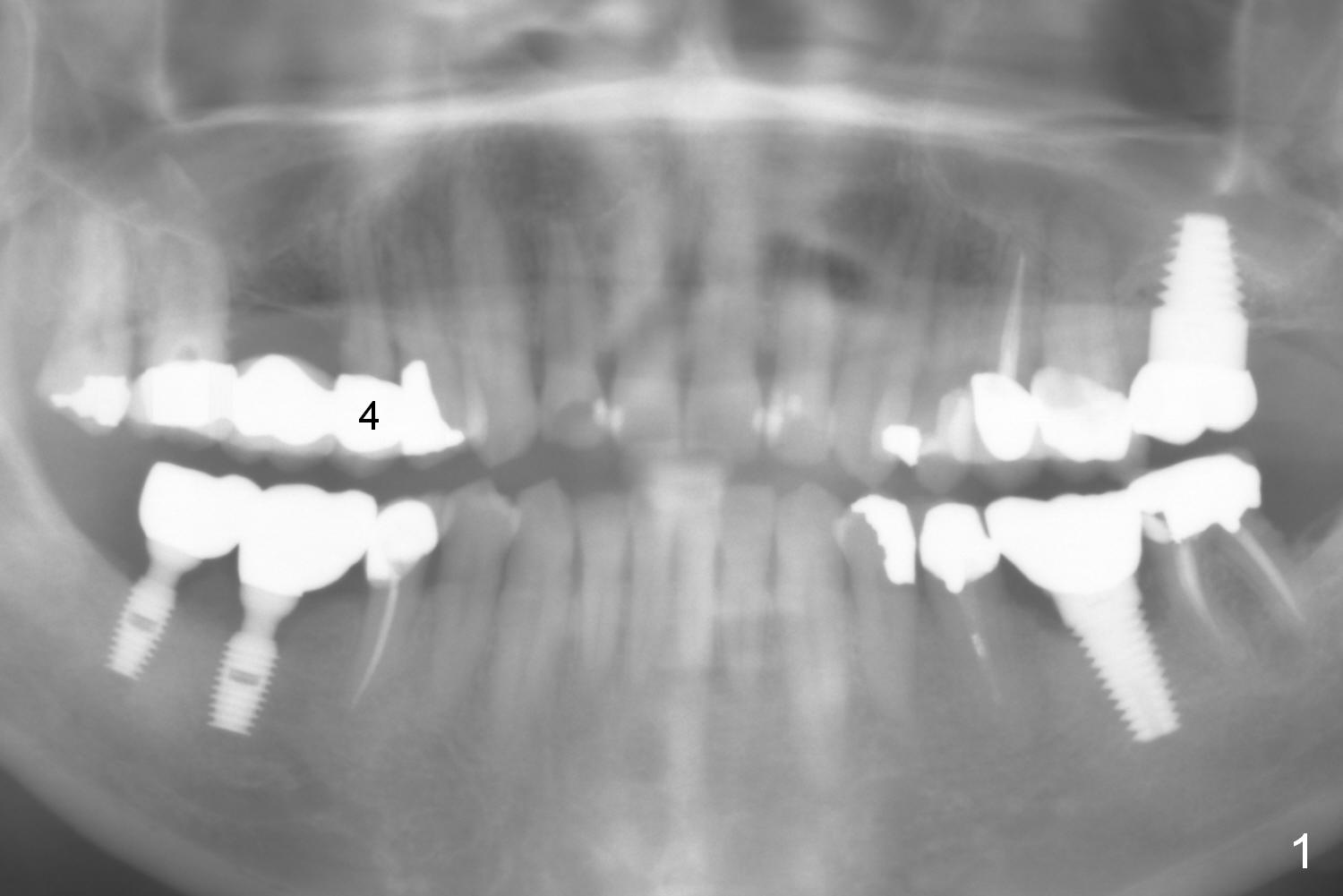
A 63-year-old man complains of loose bridge in the upper right quadrant. There is open margin at #4 (Fig.1). After sectioning between #2 and 3 without anesthesia, explore the tooth/abutment of #4 for caries. Build up or Cavit will be placed for splinted provisional with implant at #3. Use Magic Split for access and initial bone expansion, followed by Magic Expanders until 4.3 mm one. Bone density is 100-500 units. The depth starts with 7 mm and finishes with 9 mm or more from gingival margin (Fig.2). CBCT coronal section shows the bone width 8.6 mm (Fig.3). Place a 4.5x9 mm dummy implant at the gingival level for depth determination. Use a definitive implant 1-2 sizes larger (Fig.4,5). Draw blood for PRF. Also prepare Magic Lift Kit and DIO one.
Return to
Upper
Molar Immediate Implant, IBS
Xin Wei, DDS, PhD, MS 1st edition 02/15/2017, last revision 03/14/2017