![]() |
![]() |
|
Tooth Movement after Implant Osteointegration
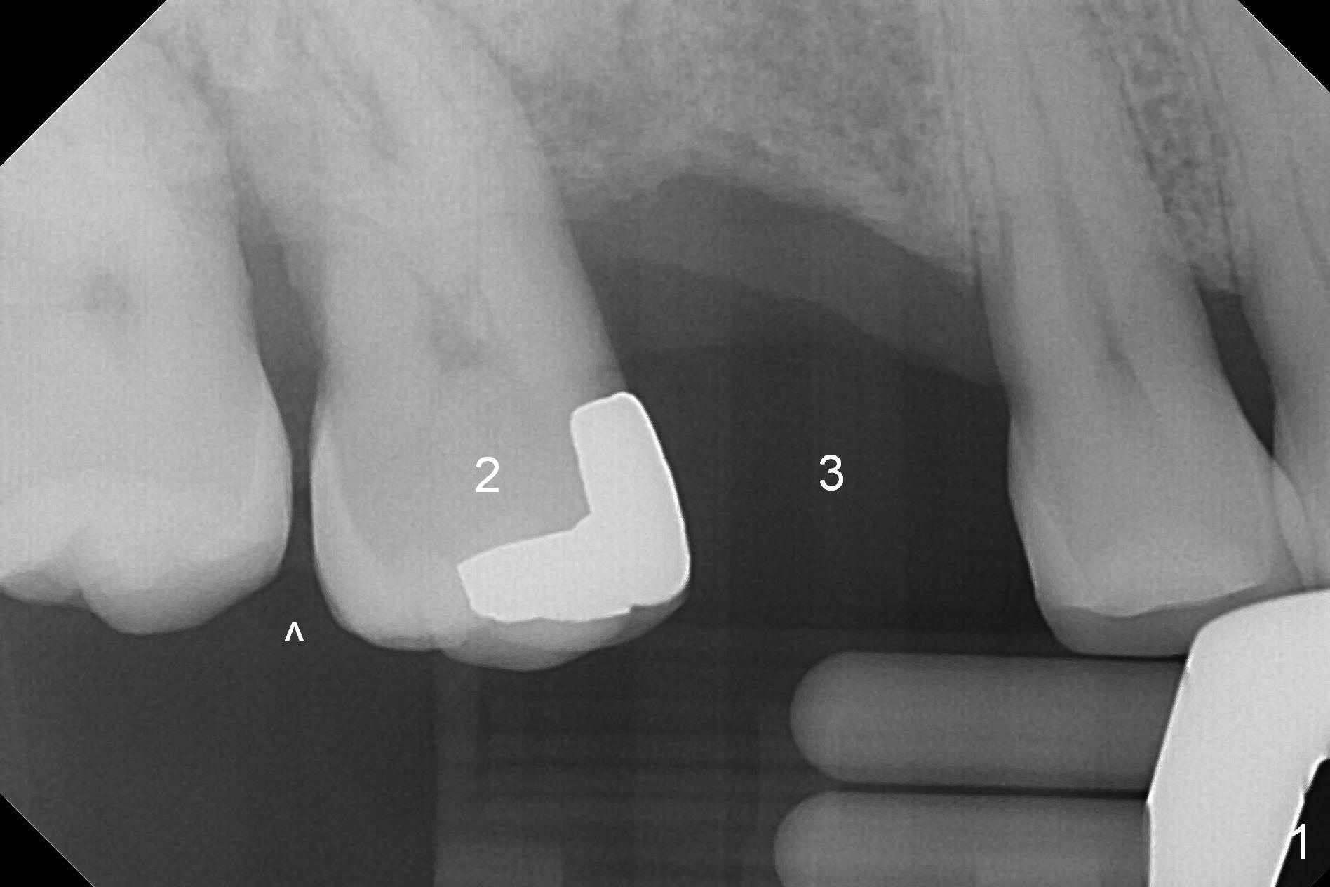
A 53-year-old man wants treatment so that the tooth #2 will not have the fate of the tooth #3. It appears that etiology includes periodontitis and occlusal trauma (Fig.1, 2). The tooth #2 has shifted mesially (Fig.1 ^). The initial drill of DIO Sinus Lift Master Kit will be used for 6 mm (Fig.2), followed by round burs for 7 mm or more. Place PRF and allograft (Metronidazole) before implant placement.
After implant osteointegration, fabricate a provisional and place a separator between #2 and 3. A few days later, add acrylic to the distal surface of the provisional and place a separator. The procedure will repeat until the distal diastema of the tooth #2 closes. Make necessary occlusal adjustment for #2 so that it does not get occlusal trauma.
Return to
Upper
Molar Immediate Implant, IBS
Xin Wei, DDS, PhD, MS 1st edition 03/15/2017, last revision 03/15/2017