![]() |
![]() |
![]() |
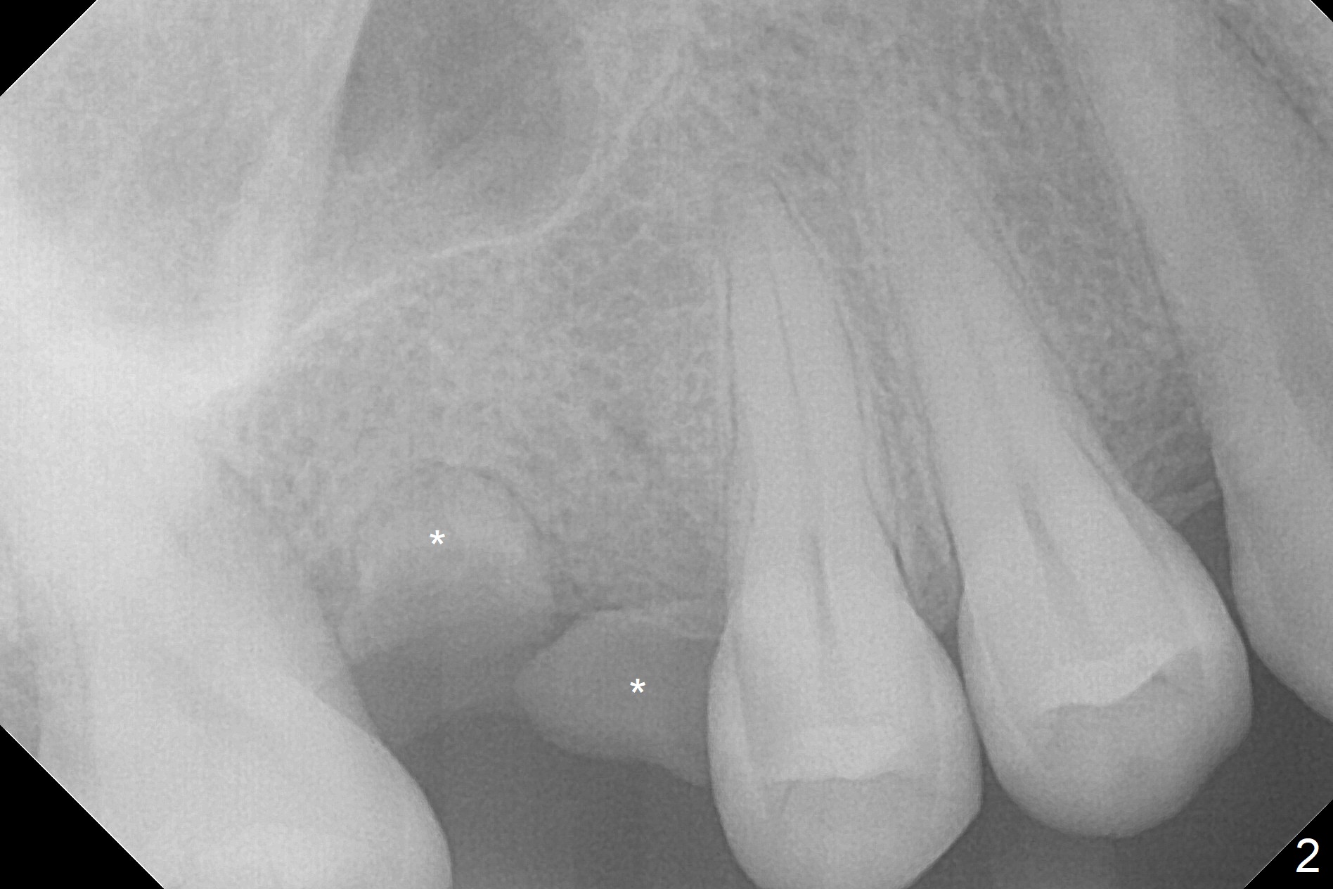
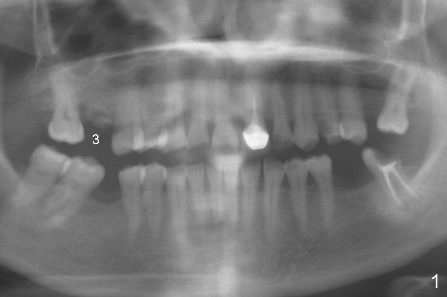
A 45-year-old woman has poor dentition due to dental phobia (Fig.1). The tooth #3 has residual roots (Fig.2 *). The initial depth will be 9 mm with starter drill, 2 mm drill (parallel pin, PA) and 3.2 mm Magic Drill (Fig.3). Use 4x11 mm dummy implant for sinus lift for the last 2 mm.
Return to
Upper
Molar Immediate Implant, Prevent
Molar Periimplantitis (Protocols,
Table), IBS,
No Antibiotic
Xin Wei, DDS, PhD, MS 1st edition 09/10/2017, last revision 05/24/2018