Thick Gingiva

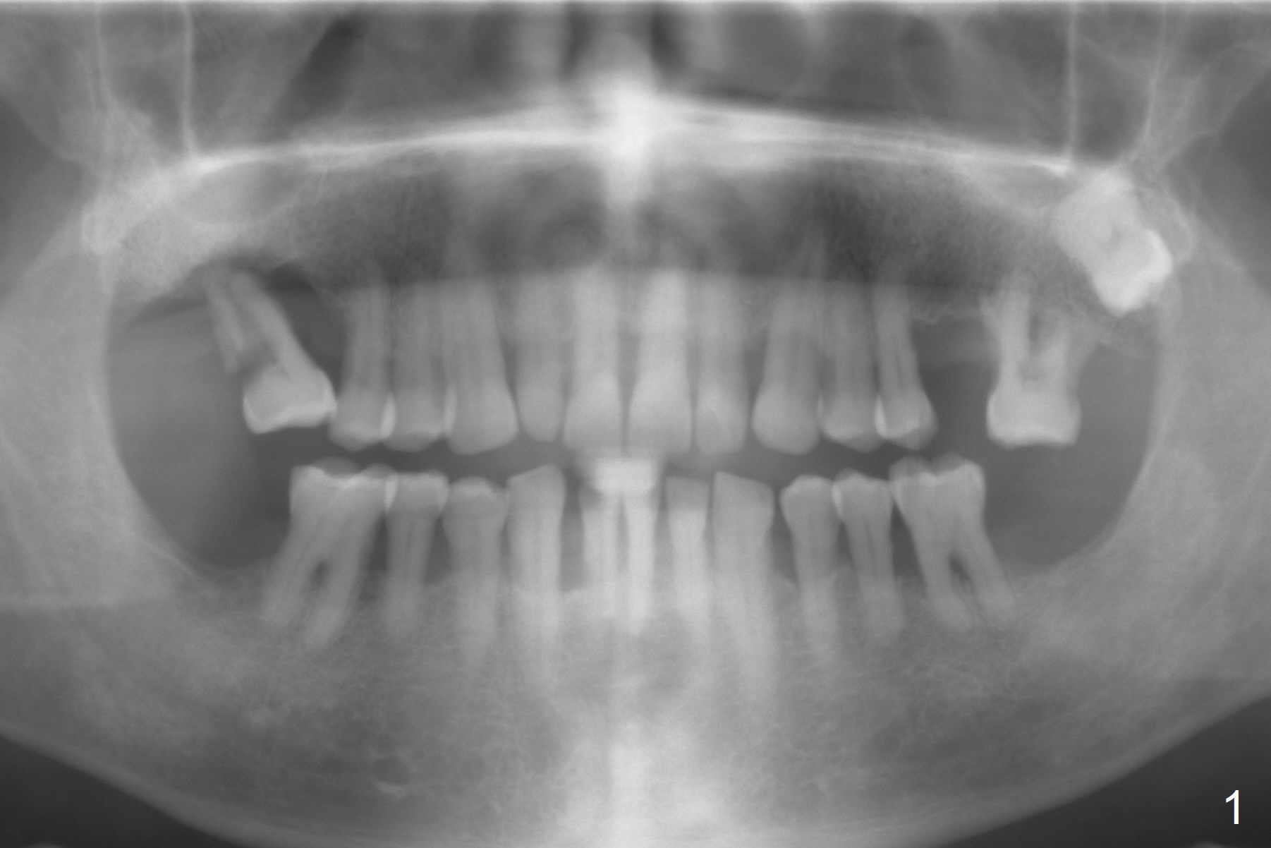
A 53-year-old man has severe peridontitis (Fig.1).  The tooth #3 has exfoliated.  The 1st implant will be placed at #3, where the gingiva seems to be thick (Fig.2: 10 mm).  A mill abutment will be used.

Return to Upper Molar Immediate Implant, IBS, #14 Xin Wei, DDS, PhD, MS 1st edition 08/22/2017, last revision 08/11/2019