![]() |
![]() |
![]() |
Implant Threads Covered by Bone
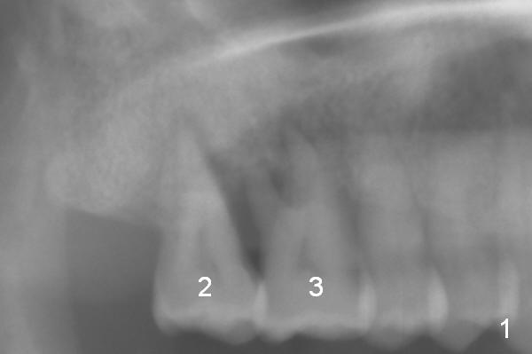
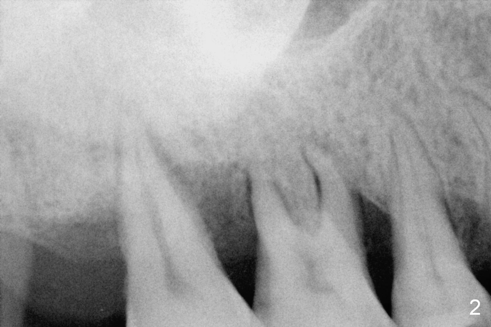
A 52-year-old lady is pleased with the implant at #15 and requests implants at #2 and 3 next (Fig.1,2). Due to severe bone resorption, bone level should be uneven circumferentially. The implants will be placed as apical as possible, i.e., buried in the native bone. If implant threads are exposed in small region, they will be covered by allograft (Fig.3 pink circles). The size of the abutments is shown in red. Clindamycin will be used for socket disinfection.
Return to Upper Molar Immediate Implant
Updated Design
Xin Wei, DDS, PhD, MS 1st edition 03/02/2016, last revision 04/08/2018