Immediate Loading Bridge (Osteotomy in Septum of Upper 2nd Molar)

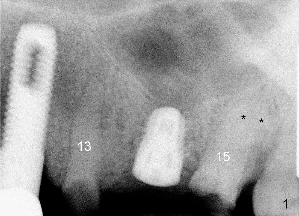
A 84-year-old man has a failing bridge.  A short implant was placed at the pontic site 5 months ago (Fig.1, taken 2 months postop).  The bridge was temporarily recemented.  It is planned at next appointment to extract #13, uncover the implant at pontic and save #15 if possible.  When the bridge is removed, the tooth #15 is also found non salvageable (Fig.2). The root stump of #15 is oval, 5x10 mm.  Preop PA shows that the 2nd molar has two roots (Fig.1: *).  When the tooth is extracted, the septum is found wide buccolingually (Fig.3: S, between the buccal (B) and palatal (P) sockets).  Osteotomy is formed in the septum with combination of drills and osteotomes, followed by insertion of taps (Fig.4).  Finally the osteotomy (Fig.5 O) in the septum (S) of #15 deviates into the buccal (B) socket.  When the implant is placed (Fig.6), it deviates buccally slightly (Fig.7).  The remaining sockets are filled by bone graft (Fig.7 G).  Immediate provisional bridge is fabricated after placement of abutments (A).  The main purpose of the provisional at early stage is to hold bone graft in place.  There is no occlusal contact with the opposing dentition,  Due to time constraint, the uncovering of #14 is postponed.  The provisional dislodges 2-3 days postop.  The patient returns for recementation 5 days postop; the sockets have initially healed (Fig.8,9, as compared to Fig.7). 

The provisional dislodges once more several days later.  The implant at the site of #14 is uncovered; an abutment (A) is placed (Fig.10.11); a provisional (Fig.12 P) 3-unit bridge is fabricated and cemented securely.  There is some occlusal contact with the opposing teeth.

In fact this senile patient unintentionally uses the provisional as a permanent restoration and chews bone on the left side, since at the same time implants at the sites of #29 and 30 are not restored.  Two and a half months post implantation at #13 and 15, the patient returns because the provisional has fractured (Fig.14), while all of the 3 implants are stable with sign of osteointegration (Fig.13).  The patient requests early final restoration, which is honored.  After fabrication of a new temporary bridge, he eats like a dog!

The implant crown at #15 becomes loose with pain and radiolucency around the implant (Fig.15 *) 2 years 2 months post cementation.  The implant is removed without difficulty.  The site is closed with Osteogen plug.  Next visit use RTs 2-4 to extend the osteotomy for 3-6 mm, followed by tapered taps.  If stability is low, change to cylindrical taps.  Place a 6x20 or 7x17 or 20 mm implant.

Good reference: https://www.vumedi.com/video/can-you-graft-an-infected-site-follow-up/?token=eyJyZWNpcGllbnQiOjQ1MTIzMDAxLCJ1c2VyIjoxMTc0MDUsImVtYWlsIjoic21pbGVhZ2FpbmRkc0B5YWhvby5jb20ifQ:1XQz2u:jwl424CPVUUSwULvH8XTjq9n-XY

Return to Upper Molar Immediate Implant, Posterior Immediate Provisional, IBS

Xin Wei, DDS, PhD, MS 1st edition 09/03/2014, last revision 01/19/2018