![]() |
![]() |
||
![]() |
![]() |
![]() |
![]() |
Osteotomy in Septum Using Drills with Stopper
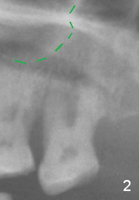
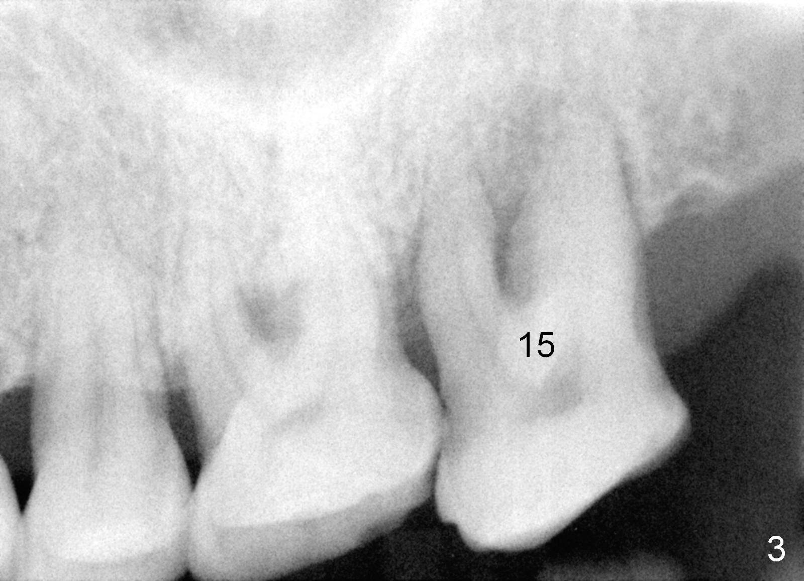
A 53-year-old man (ZB) has history of chronic periodontitis and bruxism. The tooth #18 has been extracted for a few years, while the tooth #15 is going to (Fig.1). Bone height for #15 immediate implant is not a problem (Fig.2-4; green line in Fig.2: sinus floor). After extraction (Fig.5 )socket to be treated with Clindamycin), use starter drill and a 2 mm pilot drill with stopper at 10 mm (Fig.6) on the crest of the septum (Fig.5 S). PA is taken with a parallel pin. Adjust the length accordingly. Subsequent osteotomy will be carried out with drills with stopper at 50 RPM. In brief, the implant does not need to be large. It should be placed as deep as possible (1-2 mm subcrestal mesially and/or distally), since the vertical height in the posterior region is limited. The margin of a cemented abutment is to be slightly subgingival. Use an immediate provisional to close socket gap, while to keep abutment margin from the gingiva. Use Collagen dressing before and after bone graft.
Return to Upper Molar Immediate Implant
Xin Wei, DDS, PhD, MS 1st edition 08/23/2015, last revision 10/19/2019