![]() |
![]() |
![]() |
![]() ![]() |
Periodontitis and Bruxism Co-Exist
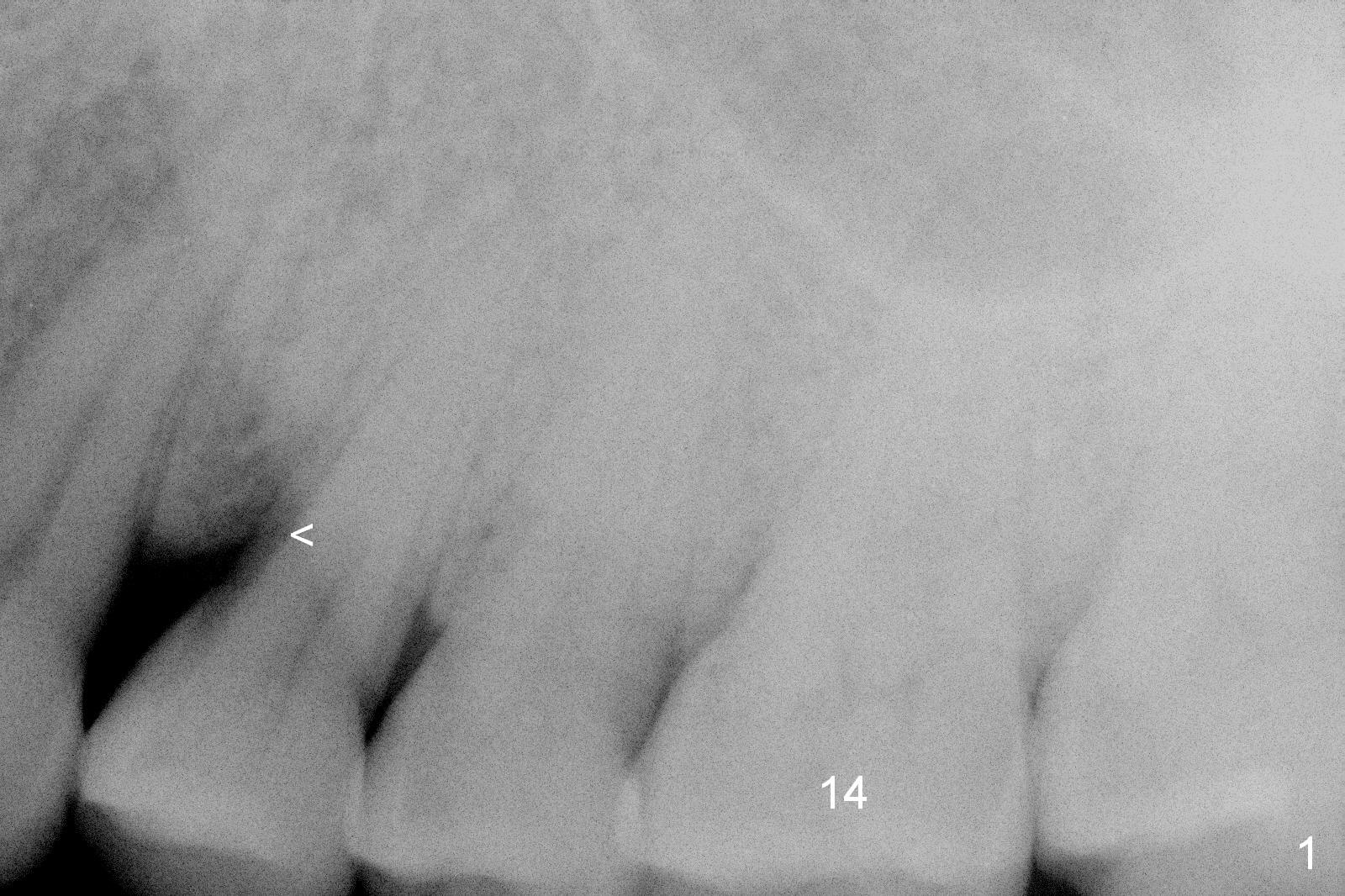
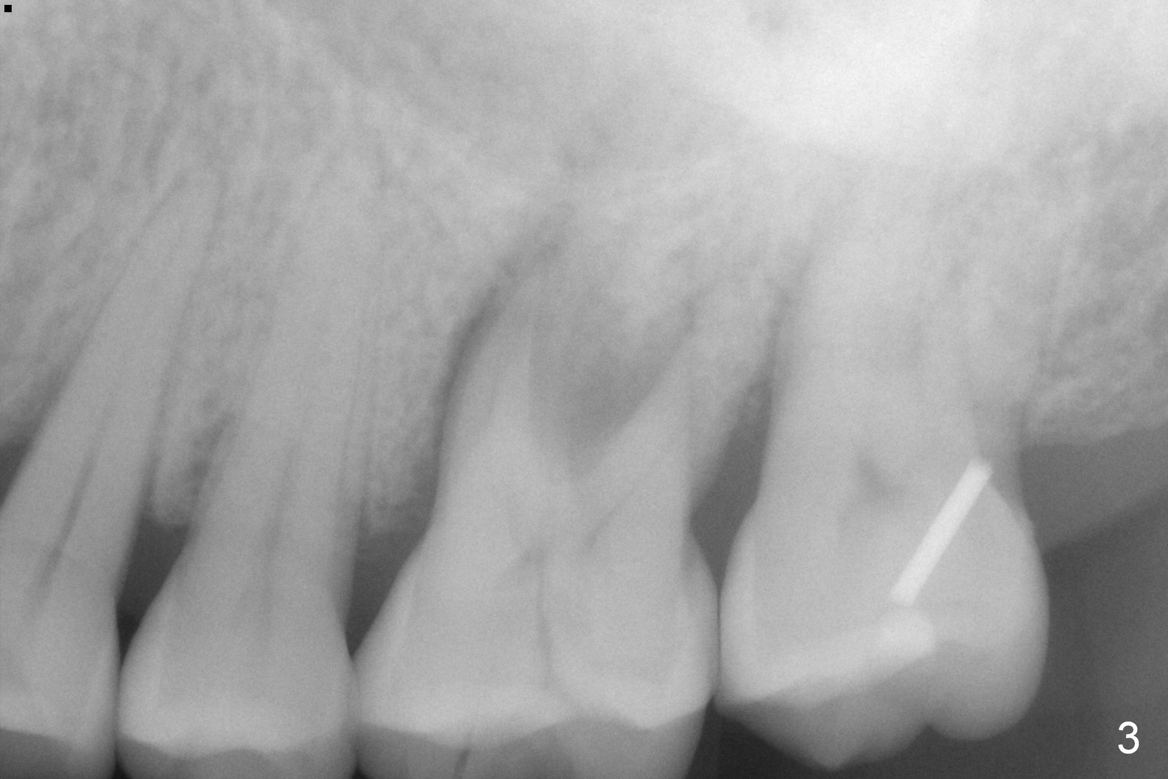
A 54-year-old lady has history of chronic periodontitis, characterized by bone loss (Fig.1 <, 2) . Her oral hygiene is fair. Bone loss and obliterated canals at #14 (Fig.1) are apparently related to bruxism. The latter seems to cause crack tooth at #15 with infection lately (Fig.3). Since the bone height is plenty (Fig.4), the longest implant will be used (5-7x20 mm (tissue-level) or 5.5x13 mm or longer (bone-level, Fig.5)). Use 2 mm drill to measure the socket (Metronidazole) depth and osteotomy will be at least 6 mm in the new bone. In fact, the tooth #14 is found to be affected when the patient returns from a periodontist's office (Fig.3).
Return to
Upper Molar Immediate Implant,
Prevent Molar Periimplantitis (Protocols,
Table)
Xin Wei, DDS, PhD, MS 1st edition 07/08/2016, last revision 07/11/2016