![]() |
![]() |
![]() |
![]() |
![]() |
![]() |
![]() |
![]() |
Flapless Bone Expansion and Condensation
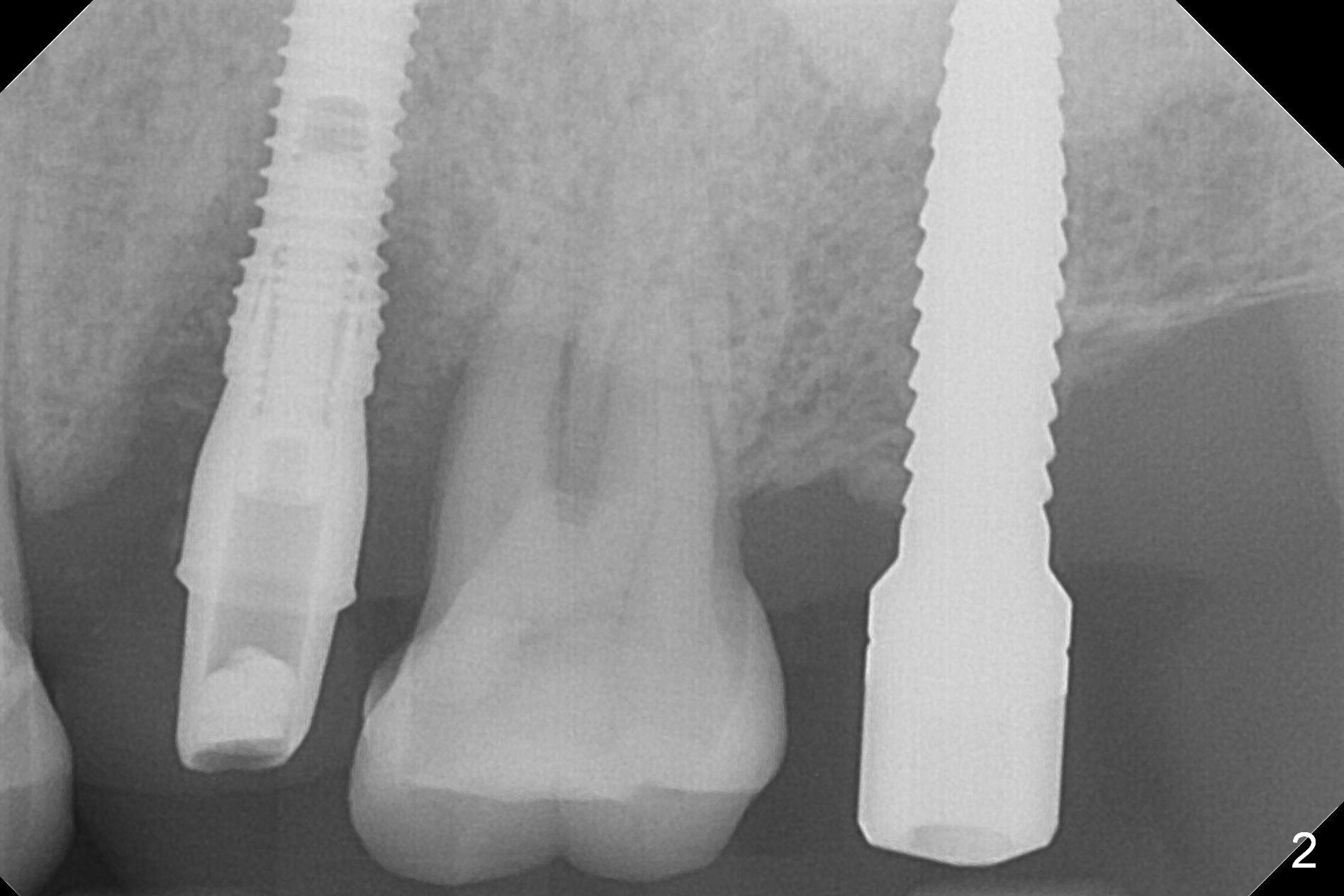
A 1.2 mm initial drill is used to start osteotomy at the site of #15 (Fig.1). After moving the osteotomy distally (with Lindamann bur), the osteotomy is enlarged by DIO Bone Expanders until 2.4/3.7 mm for 18 mm (gingival level) (Fig.2). Following the expander 3.0/4.4 mm, a 5x13 mm UF implant is placed supracrestal (Fig.3,4). After deepening the osteotomy with 3.8 mm drill for 3 mm, the implant is placed deeper by ~ 2 mm (Fig.5 arrow). Since the tooth #18 is supraerupted, a healing abutment (5.5x12(3) mm) is placed (Fig.6: H); the gingiva adapts to the abutment well. Suture is not necessary. The bone remains stable 2 and 4.5 months postop (Fig.7,8). Impression is taken. A crown is delivered nearly 6 months postop (08/07/2017). While there is minimal bone loss at #13 and 15 three years and 4 months post cementation, the tooth #14 and 18 are mobile (Fig.13,14, #13).
Return to
Upper
Molar Immediate Implant, IBS,
#13,
31
Xin Wei, DDS, PhD, MS 1st edition 03/02/2017, last revision 12/01/2020