![]() |
![]() |
Measures to Prevent Implant from Being Dislodged into Sinus
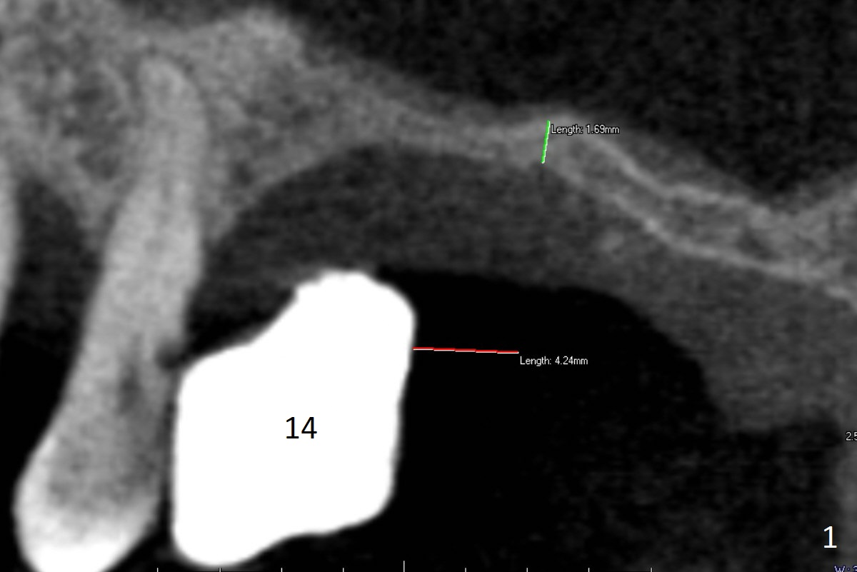
A 59-year-old man will return for #15 implant placement (Fig.1), 20 days post #4,5 implant debridement with PRF placement. CT was taken prior to implant placement at #14. Now the implant crown is wobbling, probably due to unipost being loose. To reduce overloading, an implant will be placed at #15. The bone is < 2mm in height. Magic sinus lifter will be used. To prevent sinus membrane perforation, PRF membranes (4-5) will be prepared and the shortest implant will be placed (7 mm).
To reduce the chance of the implant dislodgement into the sinus after placement, three measures will be adopted. Place an implant as large as possible (Fig.2 coronal section). Use a low profile healing abutment or remove the unstable implant crown at #14 and splint 2 provisionals.
Return to
Upper
Molar Immediate Implant, IBS,
Course
2
3
4
Xin Wei, DDS, PhD, MS 1st edition 05/17/2017, last revision 02/18/2018