![]() |
![]() |
Posterior Maxillary Implants: As Short As Possible
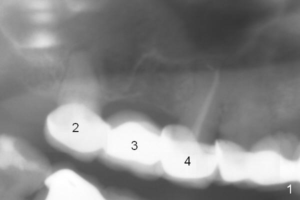
A 47-year-old woman has multiple restoration. When #2-4 FPD ( is recemented, the 2 abutments are found nonsalvageable. To avoid sinus complications, implants at these 3 sites will be long enough, but do not penetrate the sinus floor unless primary stability cannot be obtained (Fig.2). Underprep is a must, particularly for immediate implants. Since the bone density at the site of #3 is low, bone expansion is to be conducted.
Return to
Upper
Molar Immediate Implant, Prevent
Molar Periimplantitis (Protocols,
Table),
IBS,
Antibiotic
Xin Wei, DDS, PhD, MS 1st edition 10/08/2016, last revision 10/08/2016