![]() |
![]() |
![]() |
![]() |
High Bone Density
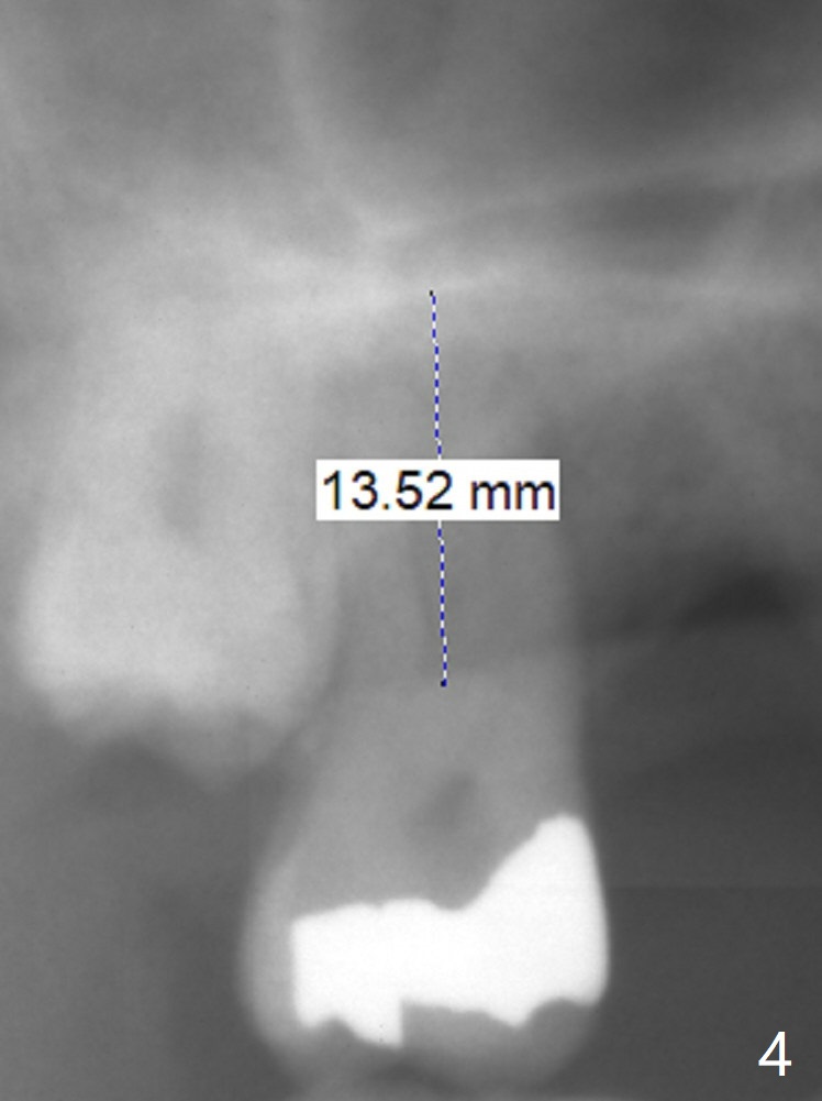
A 58-year-old man had 2 missing molar 3 years ago (Fig.1). Later the tooth #2 fractures with apparently severe bone loss (Fig.2). If the septum is lost, bone height is around 3 mm (Fig.3). Take PA before using Magic Sinus Lifter. Since his bone density is high, increase exposure time. If the septum is present (Fig.4), use Magic Drills sequentially (1.6, 2.8, 3.2 mm ....). PRF plug and membrane (1 each) are to be prepared.
Return to
Upper
Molar Immediate Implant, Prevent
Molar Periimplantitis (Protocols,
Table),
IBS,
No Antibiotic
Xin Wei, DDS, PhD, MS 1st edition 10/28/2017, last revision 08/14/2018