![]() |
![]() |
![]() |
![]() |
![]() |
![]() |
![]() |
![]() |
Resection Septum
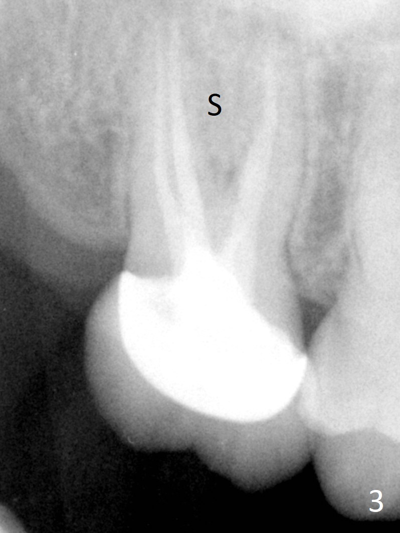
A 58-year-old woman has had RCT done at #2 for several years. The roots are trifurcated with sufficient bone height (Fig.1-3). Recently the tooth becomes symptomatic with formation of a distal fistula (Fig.4). After extraction, the septum (Fig.5 S) may be wide enough for initial drill (Fig.6). If not, resection the thin part of the septum (Fig.7 red line, with small or medium Rongeur) and use the initial drill (Fig.8). Anyway, take PA immediately to avoid sinus membrane perforation. If possible, adopt single drill technique.
Upper Molar Immediate Implant, Prevent Molar Periimplantitis (Protocols, Table), IBS, Metronidazole Xin Wei, DDS, PhD, MS 1st edition 06/17/2017, last revision 09/05/2020