![]() |
![]() |
Single Socket
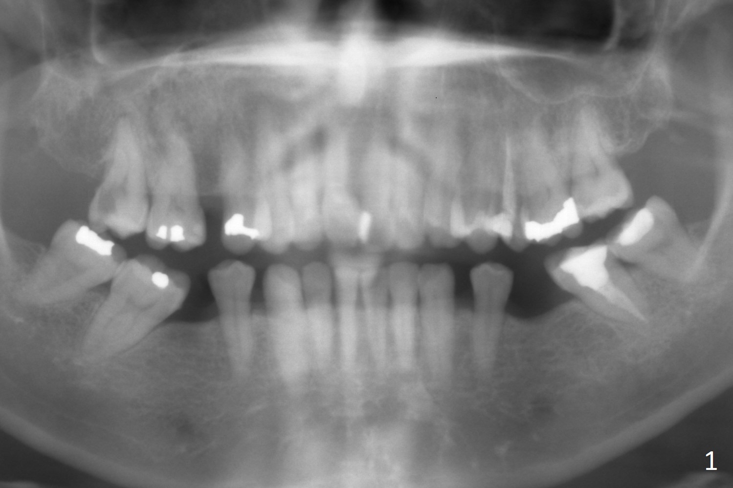
A 51-year-old woman requests extraction of the upper right 2nd molar (Fig.1) with caries and sensitivity (Fig.2 *). After discussion of treatment options including RCT, she chooses implant. The tooth has most likely fused roots and single socket. Try to use tap drills to form osteotomy palatal and deep.
In fact the patient is unwilling for immediate implant. Instead socket preservation is performed with allograft/Osteogen and Osteogen plug.
Return to
Upper
Molar Immediate Implant, Prevent
Molar Periimplantitis (Protocols,
Table), IBS,
Clindamycin
Xin Wei, DDS, PhD, MS 1st edition 06/04/2017, last revision 06/11/2017