![]() |
![]() |
![]() |
![]() |
![]() |
![]() |
![]() |
![]() |
A Long Implant is Indicated at Upper 2nd Molar
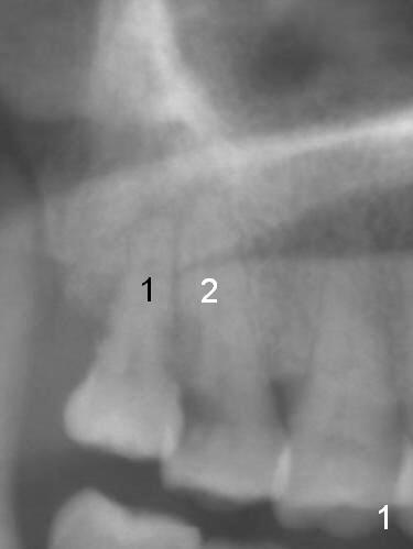
A 52-year-old woman presents to clinic with chief complaint "I can not bite in the upper right". Exam shows DO caries of the tooth #2 (Fig.1). After scaling & root planing and the tooth #1 extraction, pulpotomy is performed at #2. Two months later, pain recurs with swelling. When root canal therapy is finished at #2 (Fig.2-6), the tooth is found to have moderate mobility with guarded to poor prognosis. If the infection does not resolve, extraction and immediate implant seem to be necessary. Considering low bone density around the site of #2, a long implant is indicated (18 mm bone-level, Fig.7,8).
Return to
Upper
Molar Immediate Implant, Prevent
Molar Periimplantitis (Protocols,
Table),
IBS,
Improvement,
Antibiotic
Xin Wei, DDS, PhD, MS 1st edition 01/12/2017, last revision 01/12/2017