![]() |
![]() |
||
![]() |
![]() |
![]() |
![]() |
Place Immediate Implant in Sinus Septum
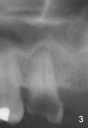
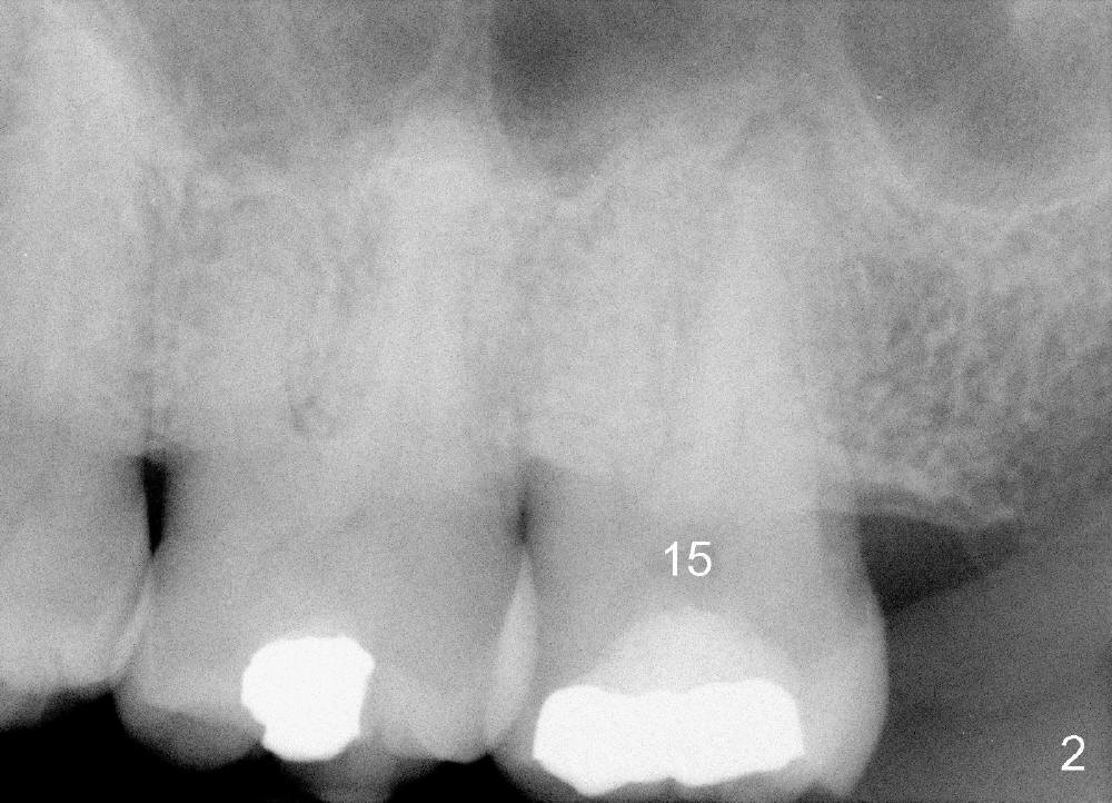
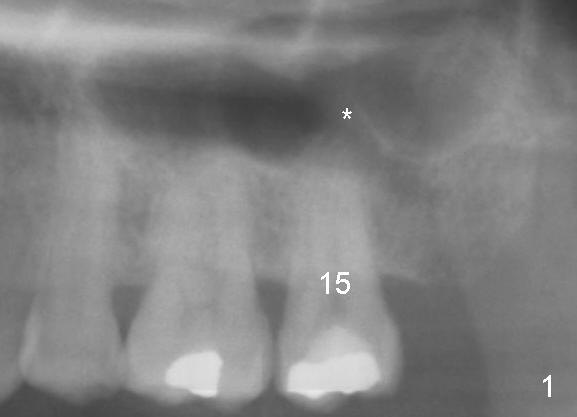
A 52-year-old black man fails to return to finish root canal therapy for the tooth #15; ultimately it is non-salvageable (Fig.1-3). The tooth has 3 basically fused roots (Fig.4 black (buccal) and red (palatal) outlines), above which is the sinus septum (*). By inserting an immediate implant into the sinus septum, primary stability should be high (Fig.5 vs. 6).
Return to Upper Molar Immediate Implant
Xin Wei, DDS, PhD, MS 1st edition 01/12/2015, last revision 01/13/2015