![]() |
![]() |
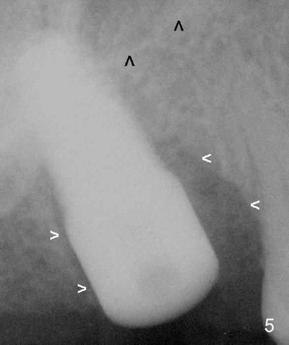
Fig.5 is an immediately postop PA, showing that a 7x17 mm tapered implant has penetrated the sinus floor (black arrowheads). The insertion torque is 40 Ncm. Later the torque increases to 60 Ncm when the implant is placed higher. White arrowheads: mesial and distal socket walls.
Fig.8 is taken 8 months postop. Both mesial (*) and distal gaps have apparently closed probably due to bone graft and regeneration. Difficulty is encountered when the implant is restored. It was placed too high. There is biologic width issue mesially.
Return to Blind Osteotomy
Xin Wei, DDS, PhD, MS 1st edition 04/24/2013, last revision 01/19/2018