![]() |
![]() |
![]() |
![]() |
Bone Graft Immediately Prior to Immediate Implantation
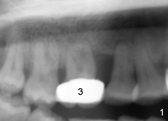
The tooth #3 of a 41-year-old lady is peirodontally compromised (Fig.1 (trimmed panoramus), 2 (PA)) with a large bony defect with the neighboring tooth (Fig.2 *). A large immediate implant is planned to be placed in the basal bone (7 or 8x17 mm, green box) to increase primary stability and reduce the amount of the bone graft to be used (Fig.3 (CT sagittal section),4 (coronal)). If the immediate implant is placed first, there is a limited space (Fig.3 arrows) to place bone graft (red circles) in the hidden areas. Therefore, it would be much easier to bone graft (mixture of autogenous bone, allograft and synthetic bone) first, packed tightly against the mesial, distal, buccal and lingual walls without blocking the entrance to the osteotomy just formed. In spite of the fact that the patient has severe periodontal disease, the bone density of the basal bone is high (Type I/III, Hounsfield units (500-1500)). Reamers will be used to create osteotomy and the autogenous bone will be saved and reused later on.
Return to Upper Molar Immediate Implant
Xin Wei, DDS, PhD, MS 1st edition 08/03/2014, last revision 01/19/2018