![]() |
![]() |
![]() |
|
![]() |
![]() |
![]() |
![]() |
Full Consideration
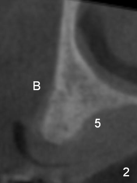
A 69-year-old man would consider implant option for his upper front teeth (Fig.1: #5-9) if there is no separate bone graft procedure. He does not want implants for his lower left molars (#18,19), since he has had a partial denture. In fact the bone at #5-9 is so thin that 2-3 mm 1-piece implants can be placed at #5,7 and 9 (Fig.2-5 (CT coronal sections (B: buccal)) for a 5-unit bridge (Fig.1). To support and increase the longevity of the latter, implants at #18,19 are mandatory (Fig.6,7).
Wheel saws will be used to split the ridge before drilling at #7 (Fig.4). Surgical bur is to be used for ridge reduction prior to osteotomy at #19 (Fig.6), while at #18, osteotomy depth will be 10 mm for 8 mm implant (Fig.7).
Return to Full Mouth Consideration
Xin Wei, DDS, PhD, MS 1st edition 04/28/2016, last revision 01/19/2018