![]() |
![]() |
![]() |
![]() |
![]() |
![]() |
![]() |
Large Pink Porcelain and Smaller and Less Protrusive Teeth
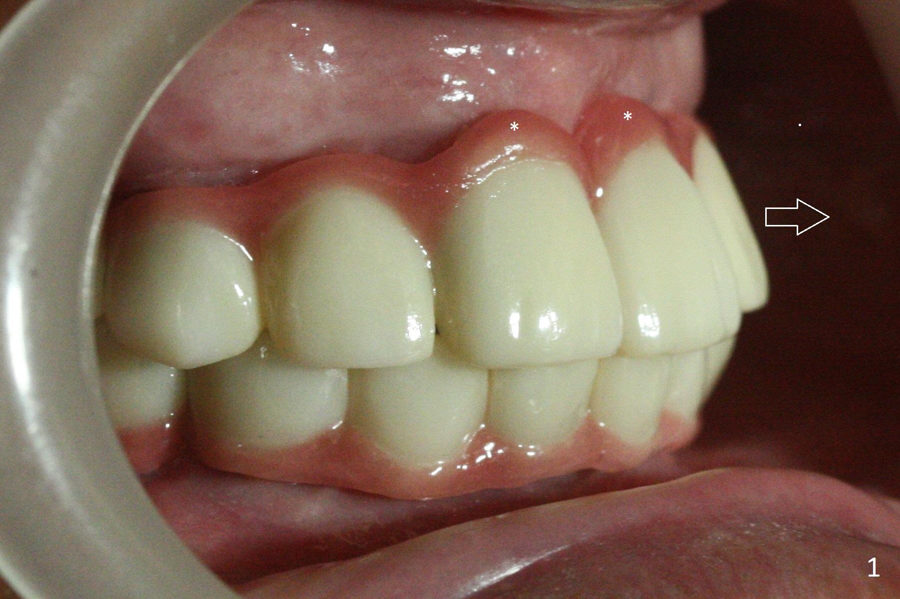
The patients has 2 issues about her upper anterior bridges. The teeth are too wide and protrusive (Fig.1 arrow). The pink porcelain is too small, lack of lip support (*).
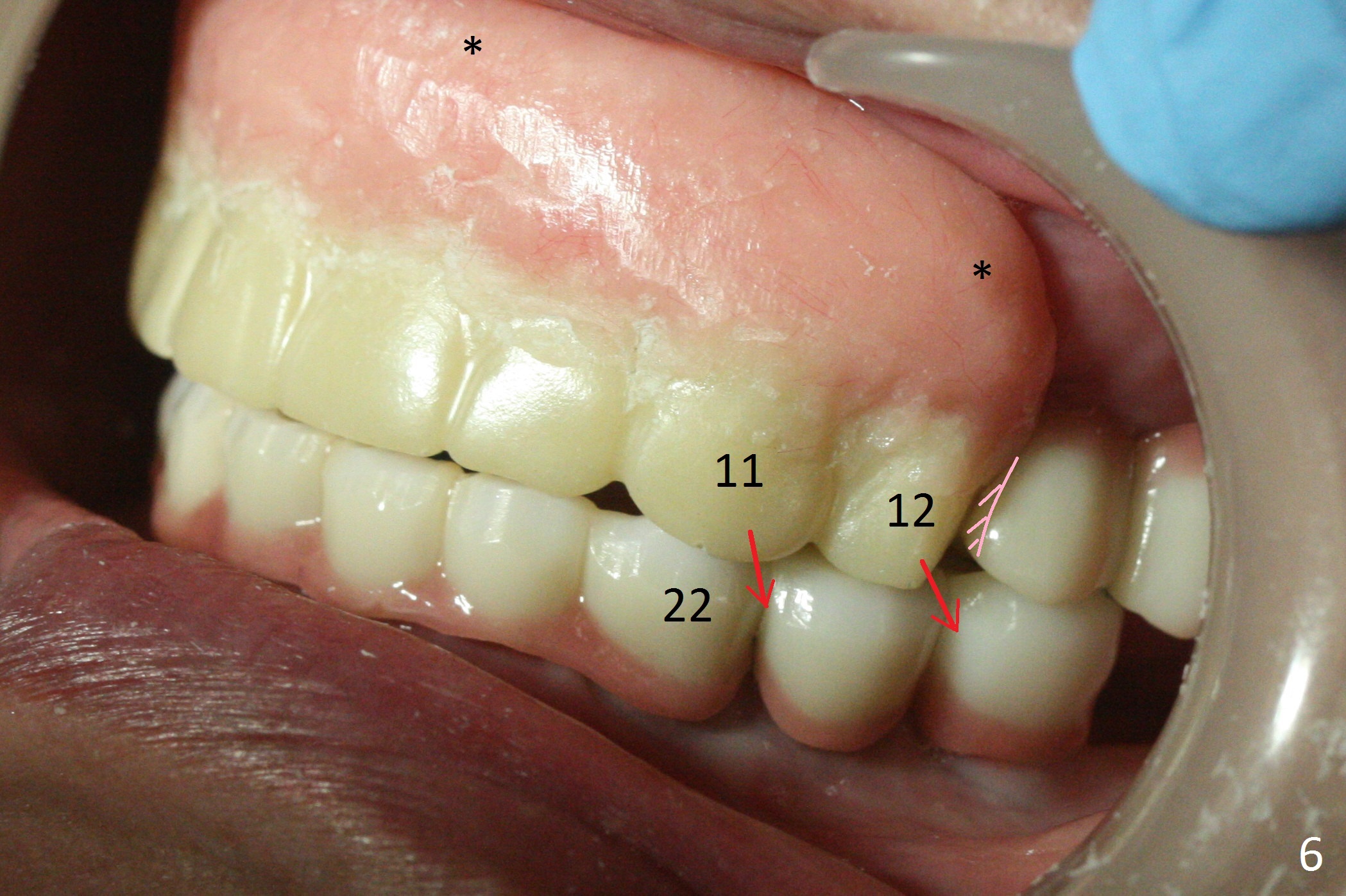
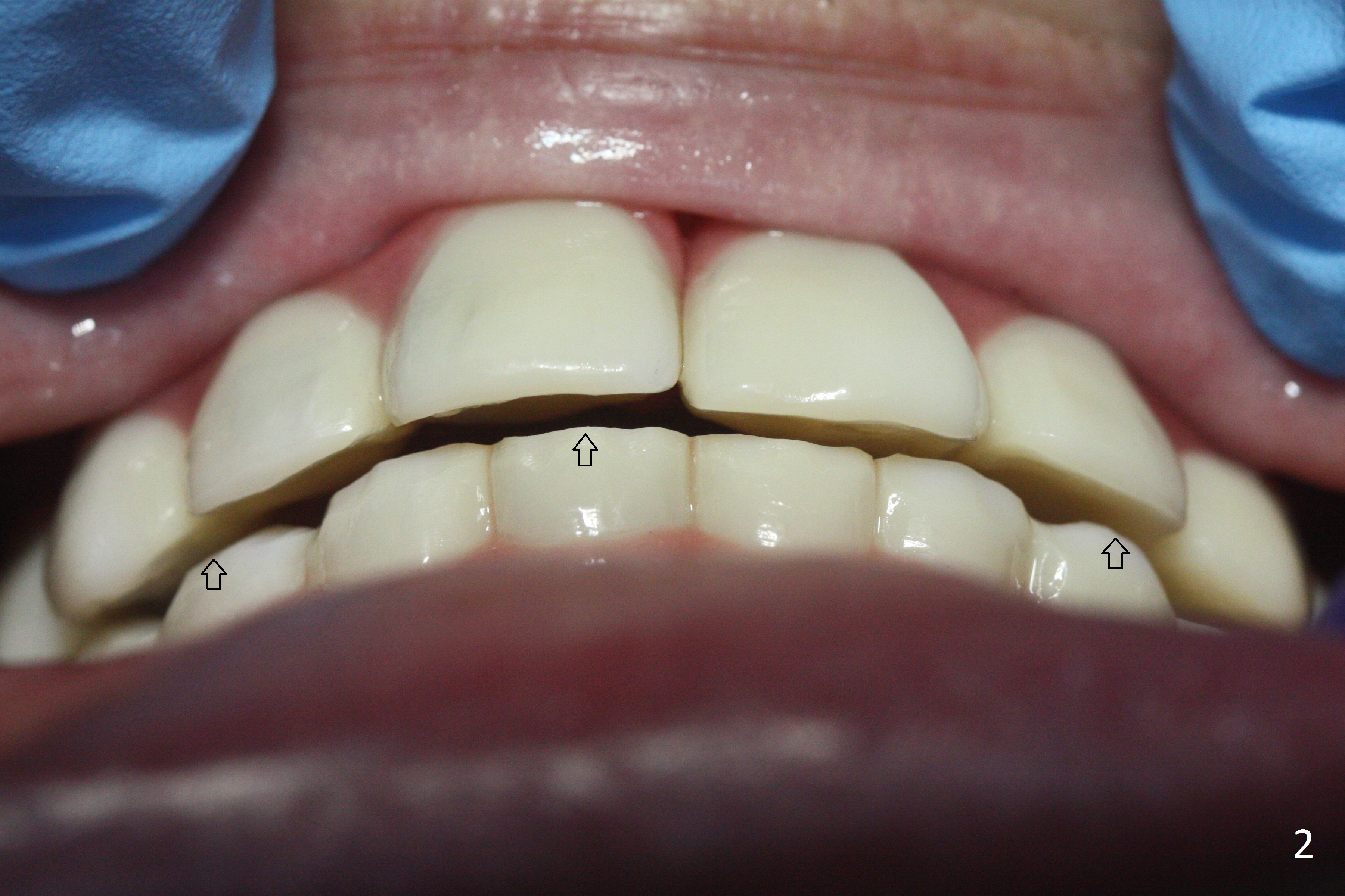
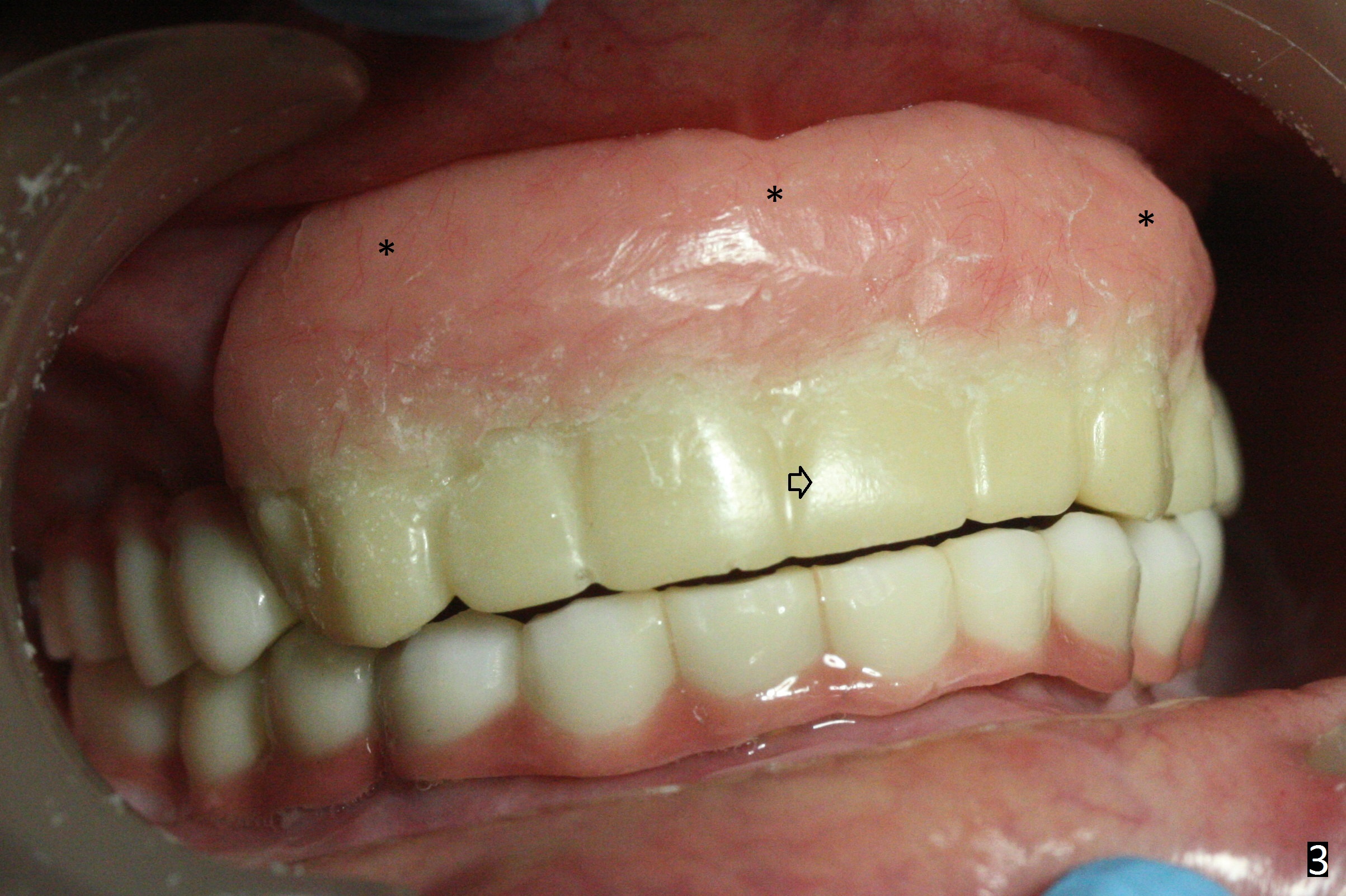
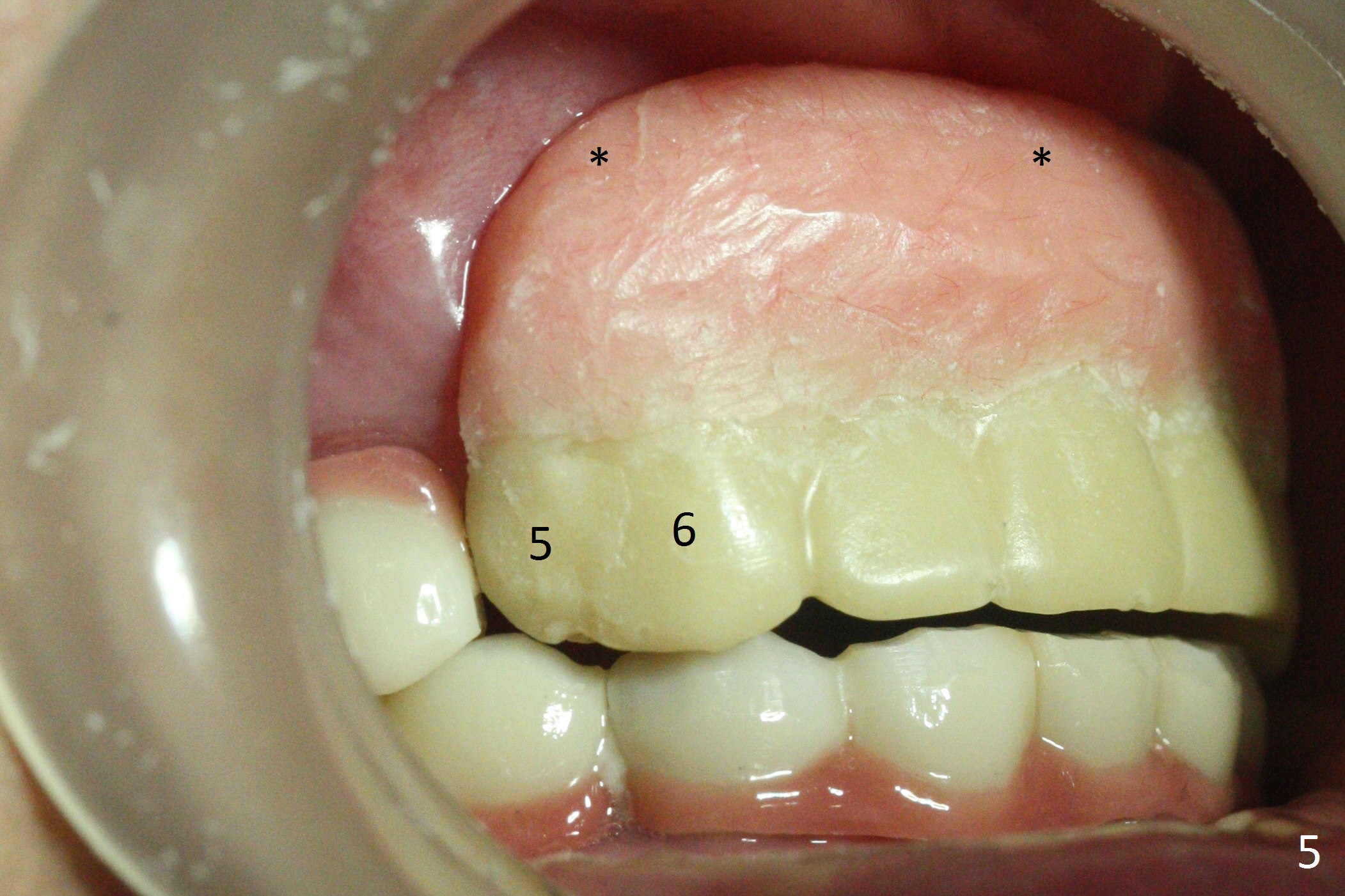
To correct the 1st issue, the incisal edge of the lower anterior bridge crowns has been trimmed (Fig.2 arrows) so that there is space for the upper provisional ones to be placed lingually (Fig.3). In fact the upper dental midline should be shifted the left (Fig.3 arrow). The lower dental line matches the facial midline. Instead of 6 of the upper anterior teeth, eight of them should be fabricated (Fig.4 occlusal mirror view). The 1st bicuspids (#5,12) are to be made over the posterior abutments (A). Before impression, the mesial surface of the original 1st bicuspid is trimmed (Fig.6 pink dashed lines) so that the new 1st bicuspid can be moved distally (red arrow).
For lip support, a large block of pink porcelain should be fabricated (Fig.3-6 *).
Finally the access holes of the anterior abutments are located lingually (Fig.7: #8 and 9 (*)).
Return to
Full Mouth Implant Reconstruction
Xin Wei, DDS, PhD, MS 1st edition 06/10/2017, last revision 07/15/2017