![]() |
![]() |
![]() |
|
![]() |
![]() |
![]() |
![]() |
Implants in Narrow Edentulous Crest
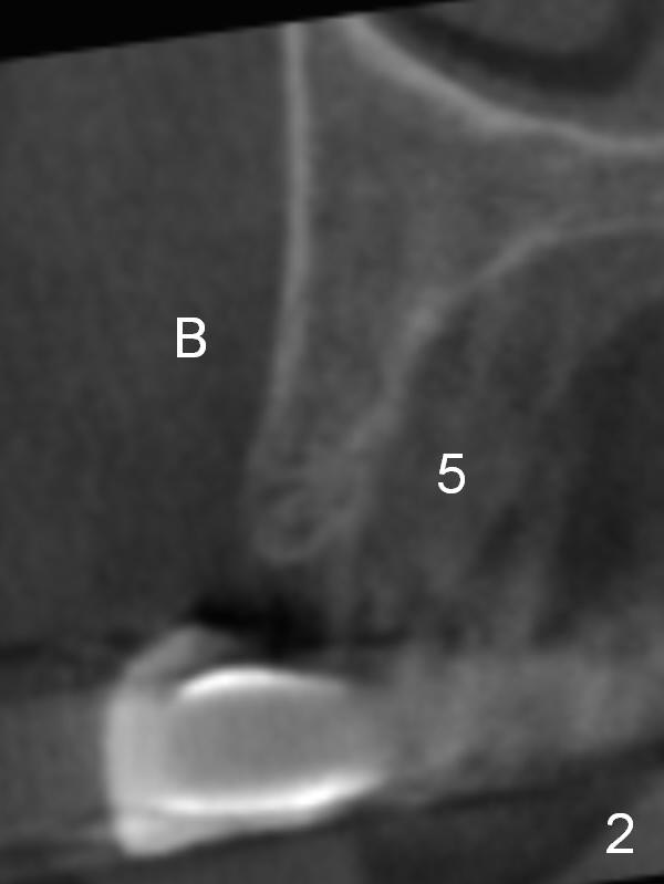
CT scan taken 10 days post immediate implant placement at #3, 4, and 10 shows that the edentulous area is narrow (Fig.1 (axial section), 2-6 (coronal sections; B: buccal)). In addition, the bone density is 100-200 Hounsfield units (Fig.2). Osteotomy should be underprep: 1.2 mm to the depth; 1.5 mm haft the depth. It appears that 2.5 or 3.0 mm 1-piece implants can be placed at #5,7 and 8 (Fig.3,5,6). Check buccopalatal trajectory after each step of osteotomy using surgical stent. Insert a 3 mm dummy implant tentatively. If it looks too wide for the ridge, use a 2.5 mm implant. If trajectory is off, use an angled one, especially at #7 (Fig.5).
Immediate implant at #9 was aborted (Fig.7 *) because it was too closed to that at #10. Since the ridge is wide, it is worthy to try again. Place the implant as mesial as possible.
Prepare 2 of DIO 1-piece implant kits, since it it most likely that 2 of 1.2 mm drills have to be placed for the 1st intraop PA.
Prepare surgical and restorative stents to fabricate acrylic splinted provisional. The relined bridge is loose. It is difficult to make space at pontics.
Return to Upper Arch Immediate Implant
Xin Wei, DDS, PhD, MS 1st edition 11/14/2015, last revision 08/05/2018