![]() |
![]() |
|
![]() |
![]() |
![]() |
UR Implants
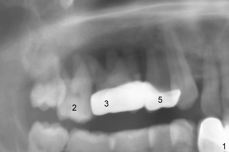
A 45-year-old man will return for #2, 3 and 5 extraction and implants (Fig.1,2). Take PAs for and Reline #7,9,11 provisional crowns and fabricate #11-13 temporary FPD if #15 implant is still unstable (5 months postop). Establish normal occlusal contact.
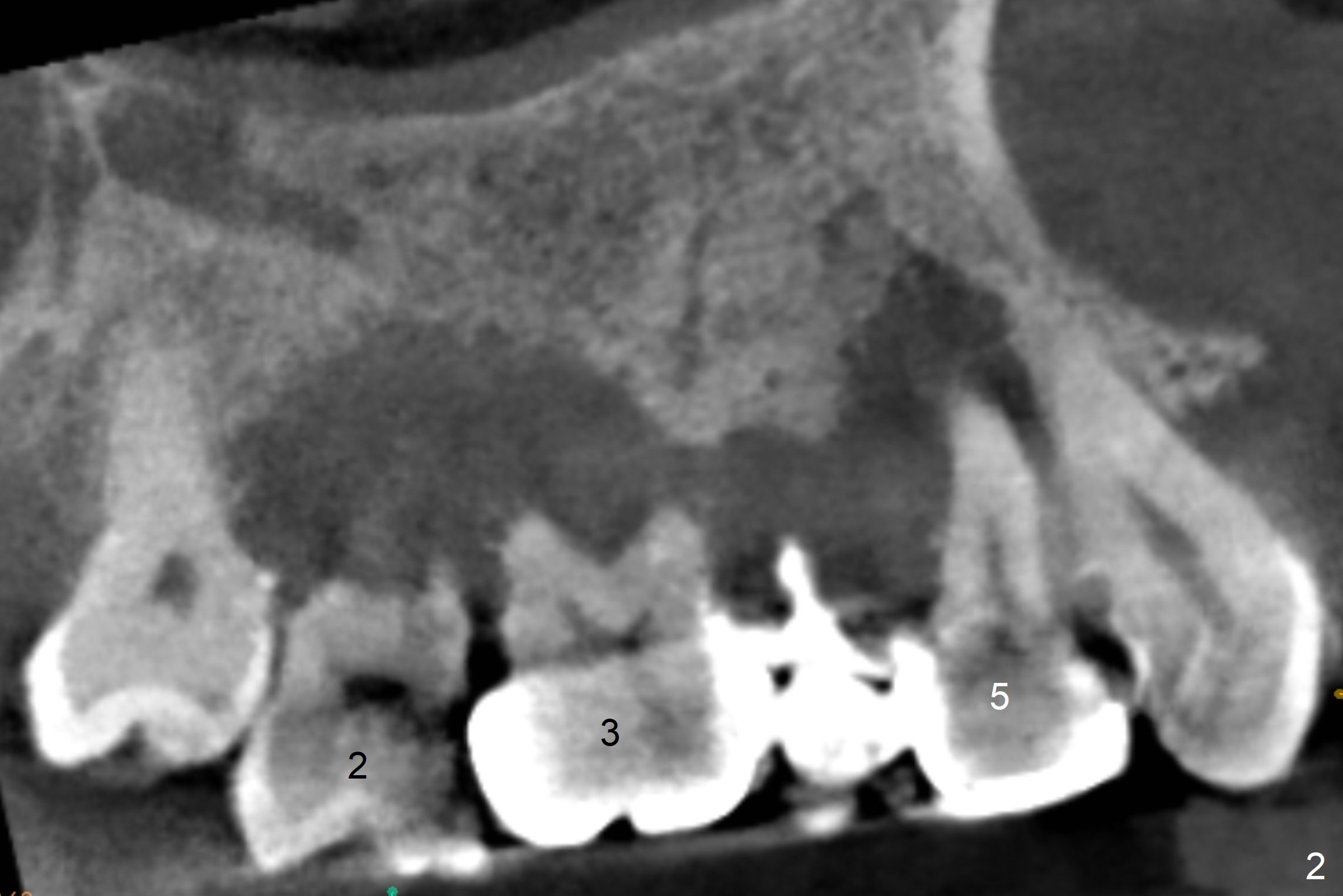
Extract #2 or remove #3-5 FPD first whichever is looser. Use the other as reference guide. Place Osteogen plug in the palatal socket of #2 ad 3 (Fig.3,4 yellow box) and allograft around the implants (red circles).
Return to
Full Mouth Immediate Implant, Prevent
Molar Periimplantitis (Protocols,
Table), IBS,
Metronidazole
Xin Wei, DDS, PhD, MS 1st edition 08/06/2017, last revision 08/11/2017