![]() |
||
![]() |
![]() |
![]() |
Long, Large Root and Possible Loose Bone
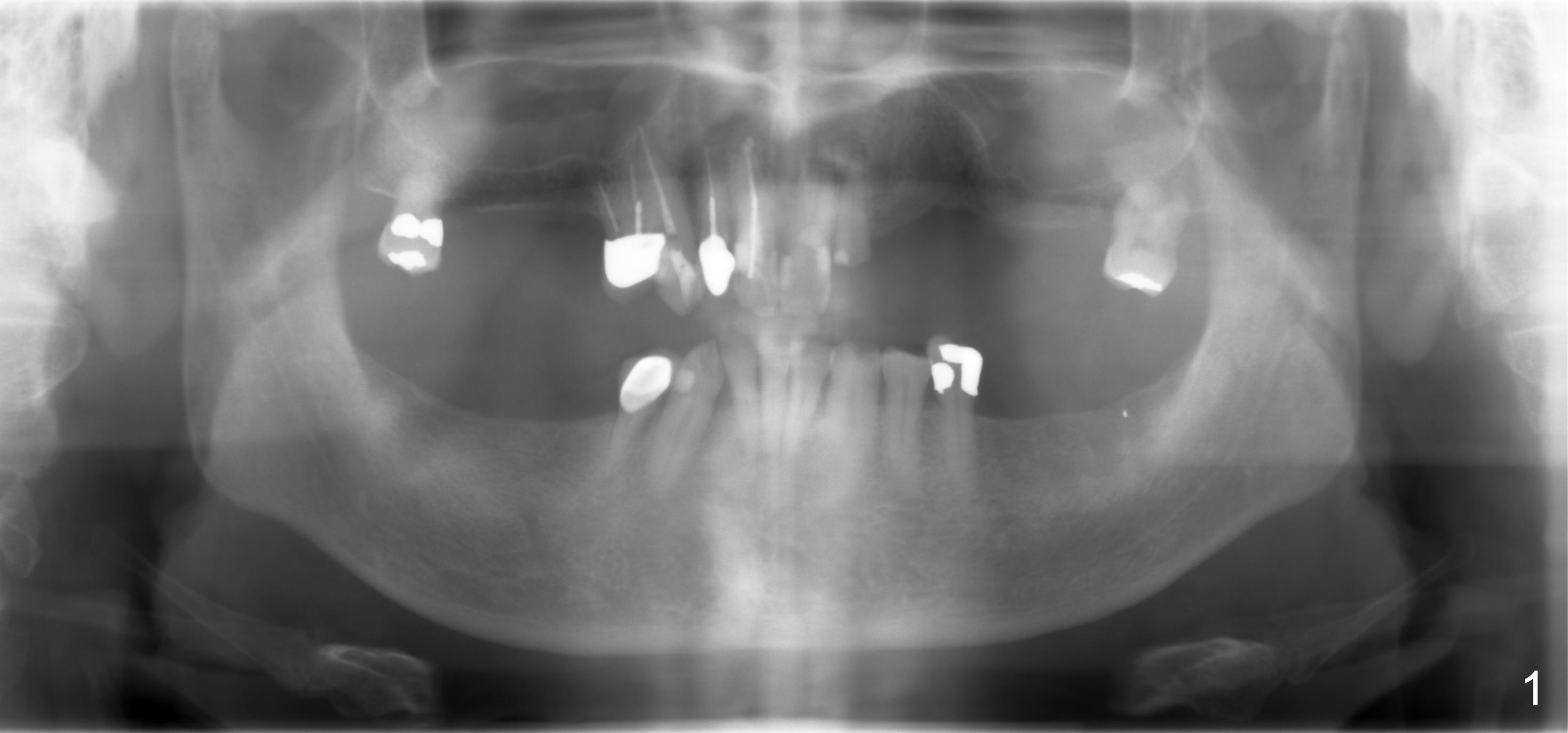
A 70-year-old man (TF) requests implant restoration for the upper left quadrant first (Fig.1), exactly #10 and 11 first (Fig.2-4). There is periapical radiolucency associated with the residual root at #10 (Fig.2 *). Local antibiotic will be Metronidazole. The root of #10 is long and large. The bone at #11 looks loose. Long implants will be placed (Fig.4). Osteotomy preparation should be less.
When initial osteotomy is established at #10 with insertion of a parallel pin, use 4.5 mm implant spacer to determine the initial point for #11 implant site (Fig.4: 6.49 (red line)-2=4.49 mm). 70岁男多个牙齿缺失,5.5年前就诊,同意在10-13位点植牙(图一)。
Upper Incisor Immediate Implants, Upper Multiple Unit Reconstruction
Xin Wei, DDS, PhD, MS 1st edition 09/07/2015, last revision 02/09/2021