![]() |
![]() |
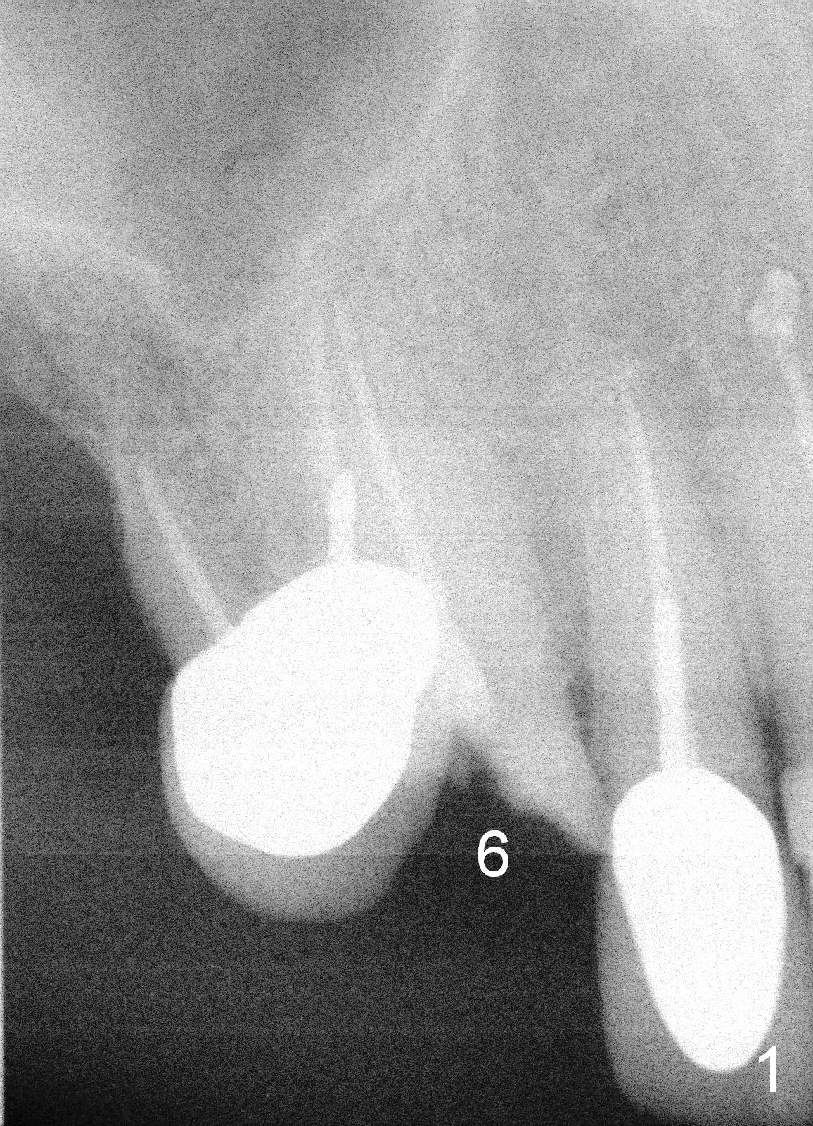
Long Bone-level Immediate Implant in Maxillary Canine
The tooth #6 of a 70-year-old man (TF) fractures subgingival (Fig.1) before final upper left implant restorations. A 15 mm or longer UF implant (Fig.2) seems to be appropriate for the site immediately after extraction (socket treated with Clindamycin).
Return to
Upper
Canine, Upper Arch Immediate Implant
Xin Wei, DDS, PhD, MS 1st edition 01/09/2016, last revision 01/15/2016