![]() |
![]() |
![]() |
![]() |
![]() |
Implants in Narrow Crest
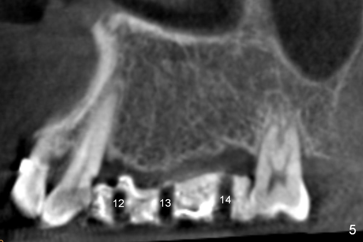
Initial osteotomies are established at the sites of #12-14 through the surgical guide (Fig.1). Following incision, the position of the osteotomies is adjusted buccopalatally where needed. Initial depth is 10 mm (Fig.2); final 14 mm. Ridge split is accomplished between the osteotomies with 7,10 and 13 mm saws from Esset Kit (Hiossen). The osteotomies are enlarged by bone expander drills from the Esset Kit RPM (Fig.3 D). When implants are placed (Fig.4 I (4.1, 3.8 and 5x14 mm)), the gap of split ridge does increase and is subsequently closed by bone graft and membrane. Definitive abutments (A) are installed to hold periodontal dressing in place securely. CBCT study reveals that the bone density between #12-14 are <200 Hounsfield units. When HU is >400, ridge split may result in bone fracture.
Return to Upper Arch Reconstruction
#2-5 Course 1
2
Xin Wei, DDS, PhD, MS 1st edition 12/11/2015, last revision 07/02/2017