![]() |
![]() |
![]() ![]() |
|
![]() ![]() |
|
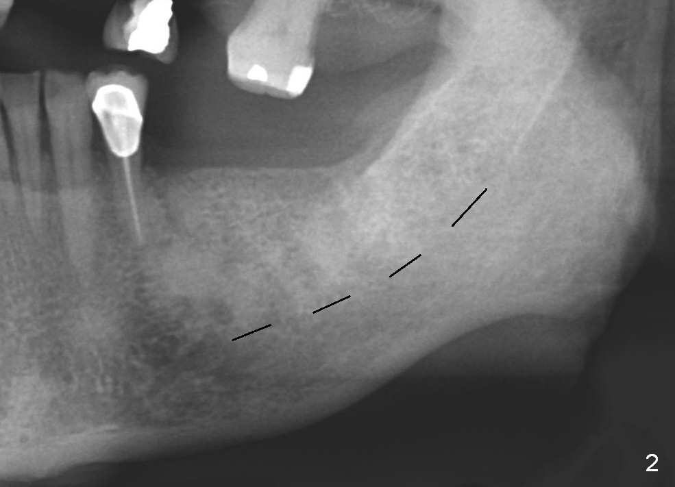
Bone Density vs. Implant Length
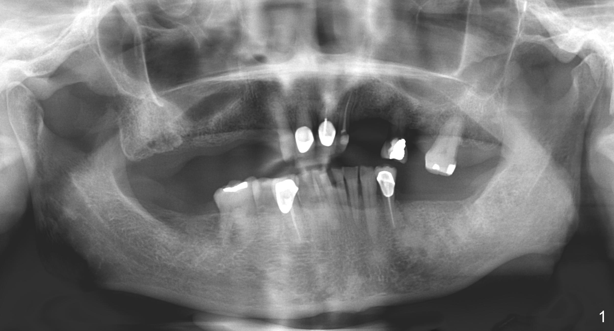
After cementation of crown at #3 and implant placement at #6, the 70-year-old lady will return for #18 and 20 implant placement and possible an immediate provisional (fixed partial denture) FPD (Fig.1,2). Before incision, start osteotomy 5 mm distal to a surgical stent (with #19 as the most distal tooth) and at #18. After incision, the initial bone depth is 11 mm (Fig.3) and insert parallel pins with depth marks for PA. If there is enough bone and bone density is low, extend the depth to 14 mm. Tatum tapered implants are going to be used. Which set of drills should be opened? Set speed at 50 RPM. Fig.3 is long horizontally. It should have been taken with #1 sensor. Beside, she is skinny. The dental arches are narrow.
Restudy of the diagnostic wax up (Fig.4) reveals that the edentulous space at #14 is narrow mesiodistally. The pontic at #19 should be correspondingly narrow. Therefore the crown at #18 should be large (Fig.5 red outline). The initial entry point for #18 implant (Fig.6 (occlusal view of a surgical stent) *) should be immediately distal to #19.
Return to Upper Arch Immediate Implant
Xin Wei, DDS, PhD, MS 1st edition 05/30/2016, last revision 06/06/2016