![]() |
![]() |
![]() |
![]() |
![]() |
![]() |
When Bone Height is Sufficient
Implant placement at #31 reveals that bone width (bucco-lingual) is not a problem for a 64-year-old man. He requests implant placement at #7 and 14 (Fig.1,3), because the upper flipper has been lost. He wants to make sure that the implant at #7 does not cause the pain at #6. In fact the flipper appears to have lead to caries (Fig.2 *) and periapical radiolucency (<) at #6. RCT is rendered at #6 prior to a 1-piece implant at #7 (Fig.1). Since bone height is sufficient, the implants do not have to penetrate the nasal floor (Fig.1 v) or the sinus floor (Fig.3 <) unless the bone density is low. Prepare implant positioner of 4 mm to determine whether the ridge is wide to hold a 3.8 or 4 mm implant. Take preop photos to show the ridge width.
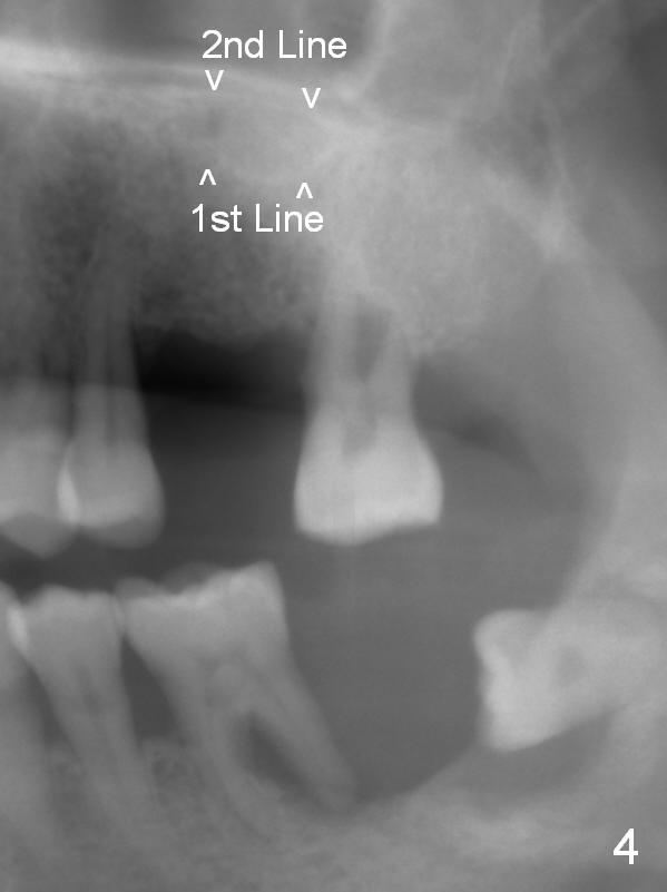
Re-analysis of #14 edentulous area reveals slightly unfavorable crown/implant ratio if the implant reaches the 1st line of the sinus floor (Fig.4). A 5x13 mm implant may invade the 1st line (Fig.5). Therefore the depth of osteotomy using 4.8 mm Magic Drill is 9-10 mm (Fig.6 green), followed by Magic Sinus Lifter, unless the bone density is high.
Return to
Upper Incisor,
Molar,
Full Arch Immediate Implant,
IBS,
Improvement
Xin Wei, DDS, PhD, MS 1st edition 08/28/2016, last revision 11/13/2016