![]() |
![]() |
![]() |
||
![]() |
![]() |
![]() |
||
![]() |
![]() |
![]() |
![]() |
![]() |
![]() |
![]() |
![]() |
![]() |
|
Immediate Implants As Related to Malocclusion
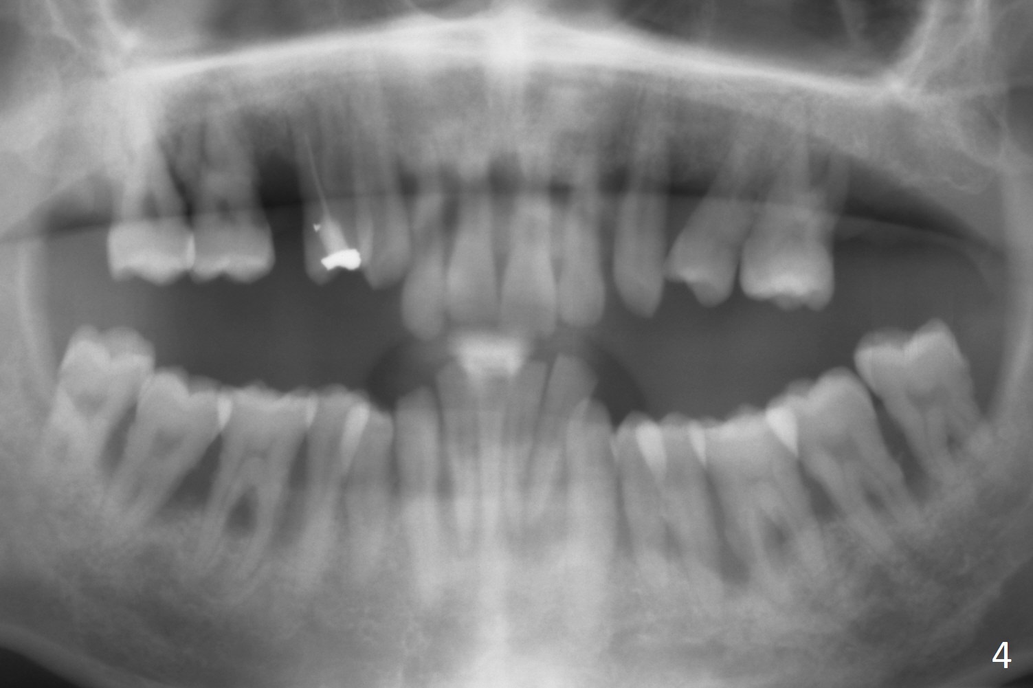
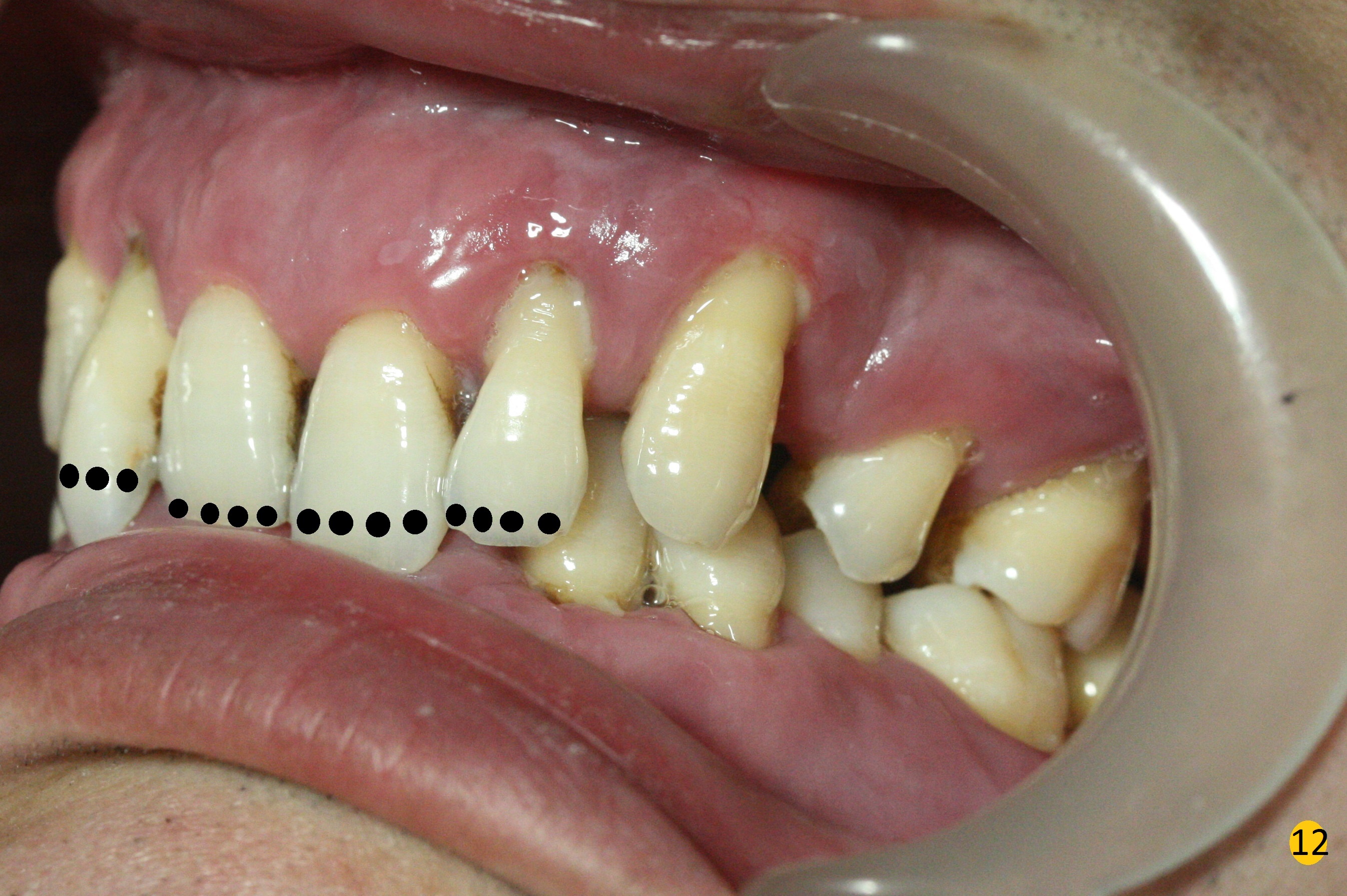
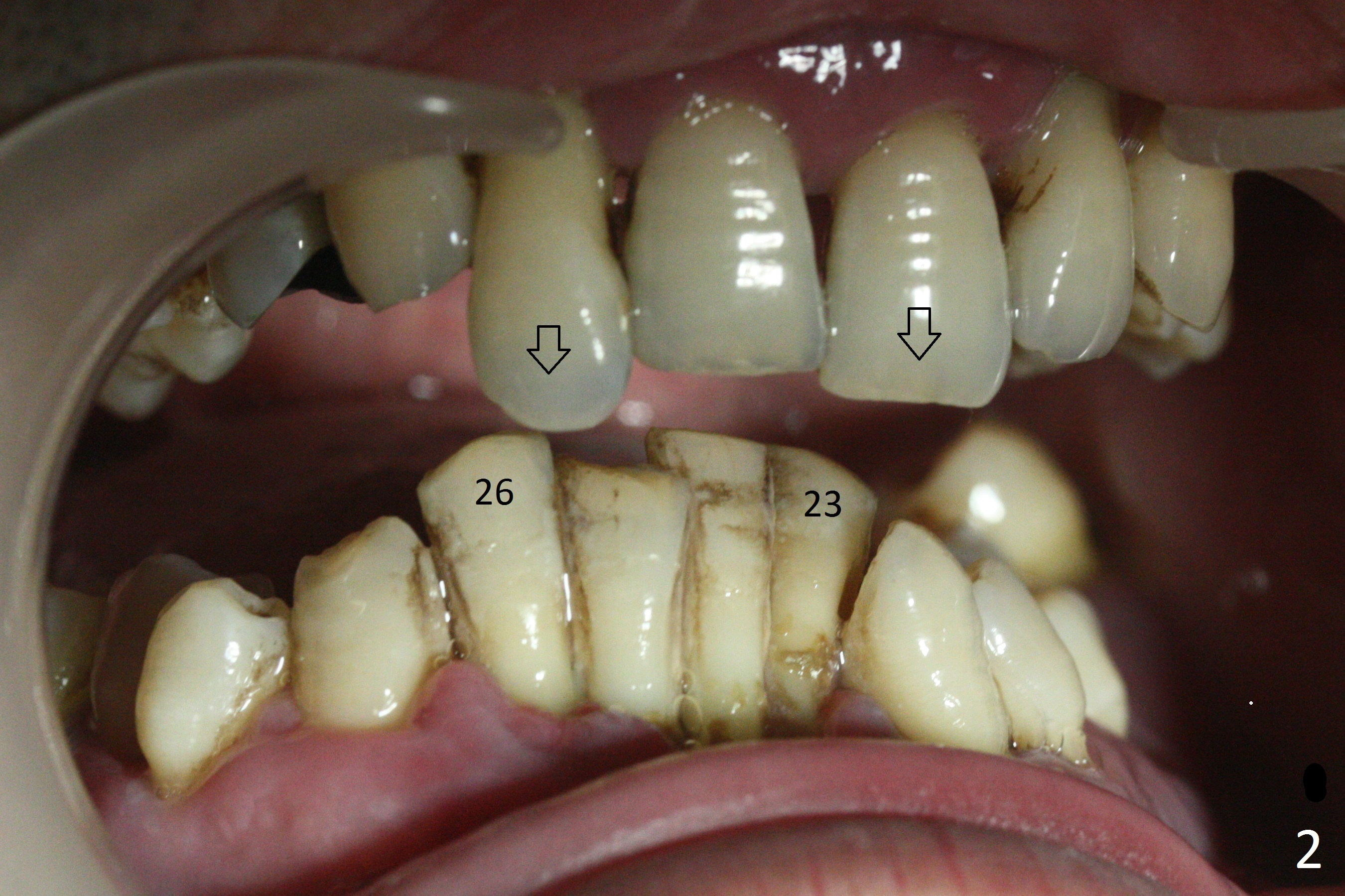
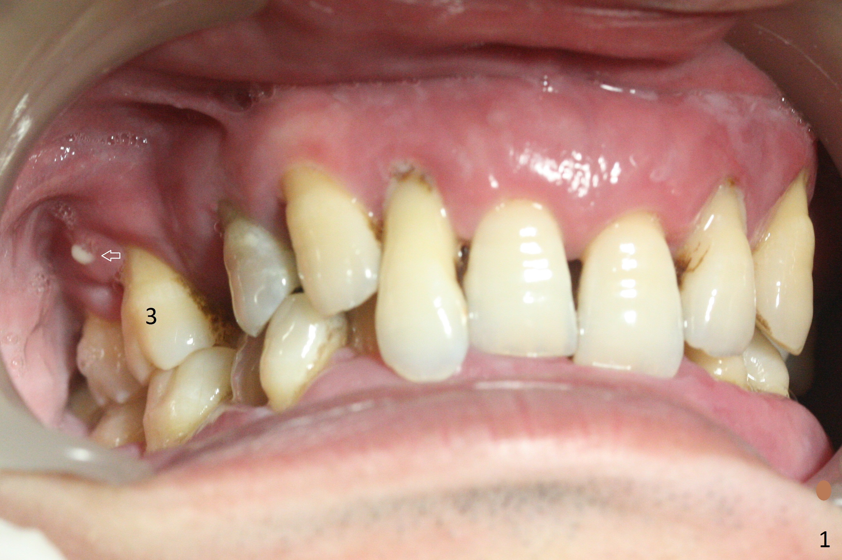
A 36-year-old man (ex-smoker) has advanced chronic periodontitis (Fig.1-5). His chief complaint is "I cannot chew on the right side now because of pain (Fig.1: #3 abscess <) and the bottom front teeth are loose (Fig.2,5: #23-26)". He has not masticated on the left side because of the mobile teeth. Due to finance, implants will be placed at #3,4 (Fig.12), 23 and 26 at the appointments of scaling & root planing.
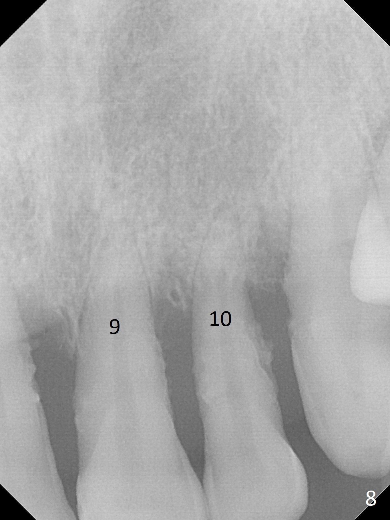
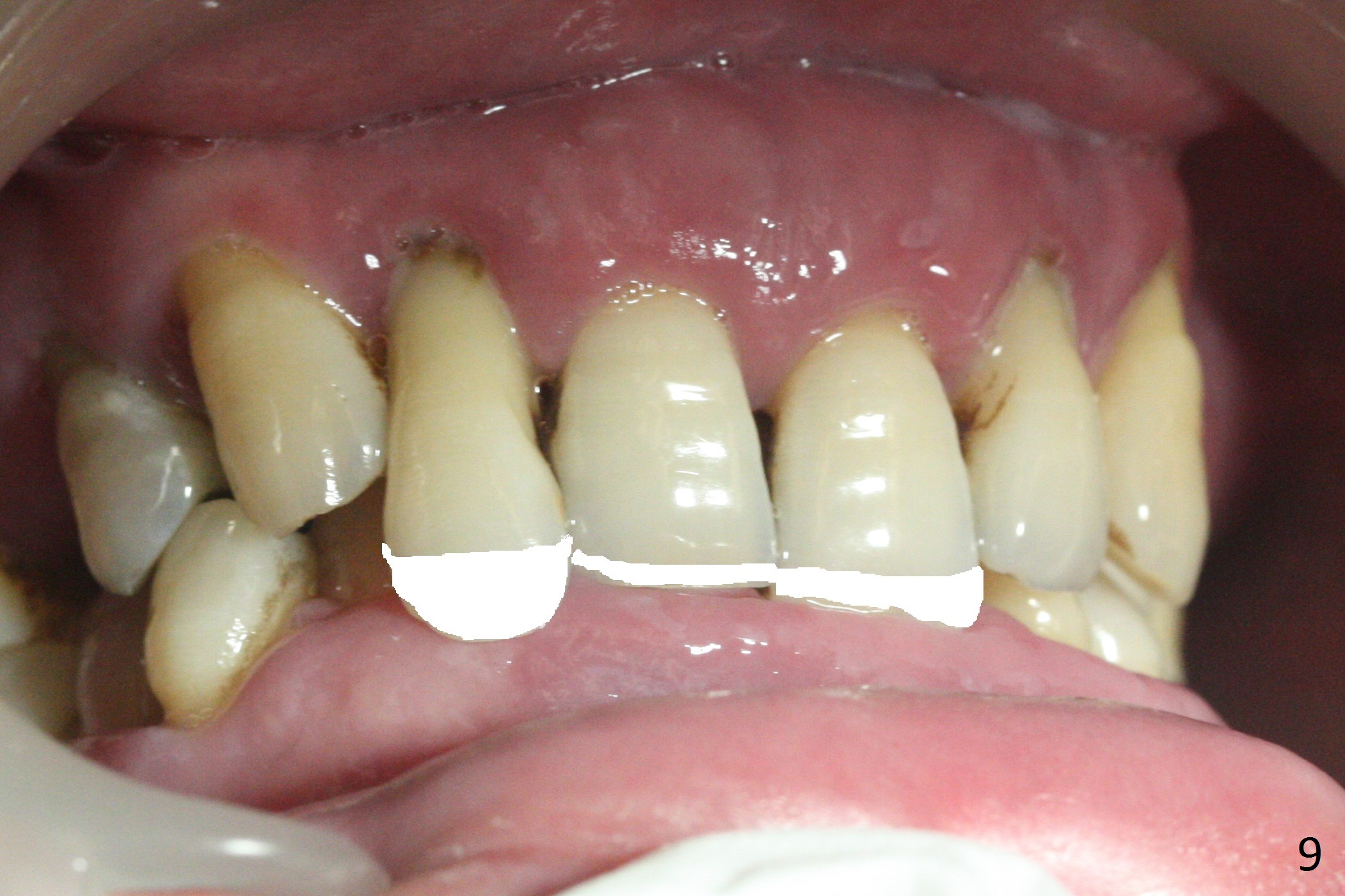
Class II Division II malocclusion (Fig.2,6) will make it difficult to restore #23-26 implant-supported FPD. Although the teeth #7-10 may need to be replaced later (Fig.7,8), enameloplasty will be conducted for #7-10 (Fig.9 white area; Fig.12 black circles (gross reduction)) prior to #23-26 extraction and implant placement (Fig.10). To be flexible in restoration (angulation) and possible future hybrid denture, 2-piece narrow implants will be placed (3.0 or 3.3 mm) instead of 1-piece ones. In fact CBCT shows that the narrowest regular implant (3.8 mm) can be placed in the lower anterior region (Fig.13-15).
Return to
Lower Incisor Immediate Implant,
IBS
Xin Wei, DDS, PhD, MS 1st edition 05/20/2017, last revision 08/22/2017