![]() |
![]() |
![]() |
![]() |
|
![]() |
![]() |
![]() |
![]() |
![]() |
![]() |
||||
2.5 mm 1-Piece Implant
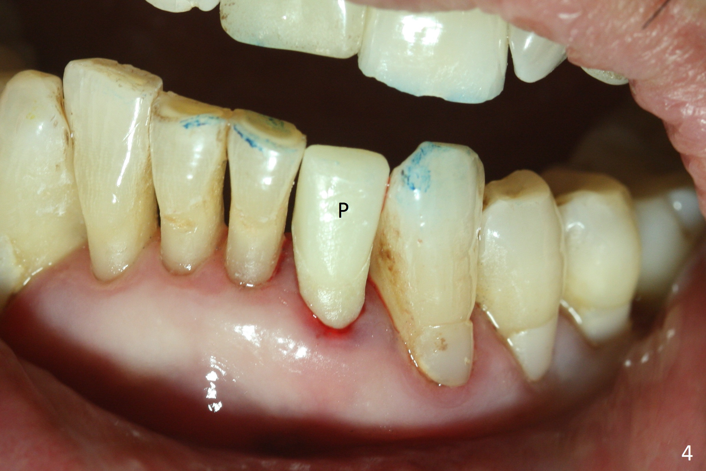
The tooth #23 is going to be extracted because the patient cannot masticate normally with mobility (Fit.1). The gingival depth is measured 2-4 mm after extraction. The 1st intraop PA taken with 1.2 mm drill for 16 mm shows the mesiodistal width is 5.11 mm (Fig.2); a 2.5x14(2) mm 1-piece implant is placed with >35 Ncm (Fig.3 with allograft placed). Following abutment preparation, an immediate provisional is fabricated to close the socket (Fig.4 P). There is no bone loss (Fig.5) or gingival inflammation (Fig.6 after reprep) 3 months postop. The narrow implant (2.5 or 2.0 mm) is indicated in the narrow edentulous space. The distal crest seems to be reduced in density and lower in height 1 year 7 months (Fig.7) and 1 year 11 months (Fig.8) post cementation. The severity does not worsen probably related to use of water pik. The crown looks bulky probably due to too large the abutment and too buccal placement of the implant (Fig.9, 10, as compared to Fig.1). A 2 mm implant may help?
Return to Lower Incisor Immediate Implant, IBS
Xin Wei, DDS, PhD, MS 1st edition 08/15/2019, last revision 10/14/2019