![]() |
Two Lower Incisors, One Implants, Two Crowns
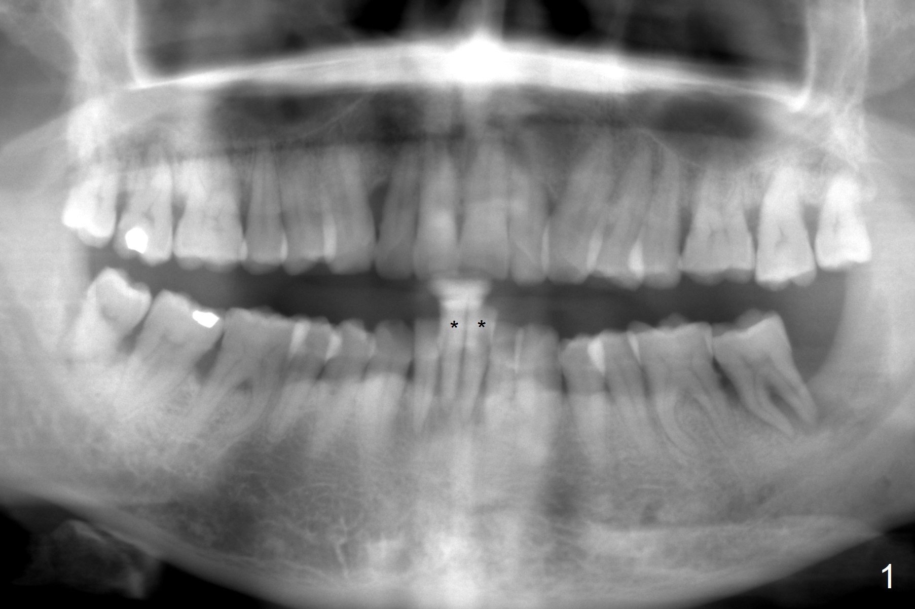
A 59-year-old man has two mobile central incisors, which are lingually displaced (Fig.1 *). Take photos and PA when the patients arrives for surgery. After extraction, choose the larger socket for osteotomy for 1-piece implant. In fact these two teeth have been exfoliated by themselves. Use an upper central incisor crown form for provisional with a vertical slot buccally to mimic 2 lower fused incisors.
Return to
Lower
Incisor Immediate Implant,
IBS,
Clindamycin,
#2
Course
2
3
4
Xin Wei, DDS, PhD, MS 1st edition 08/01/2017, last revision 09/22/2018