![]() |
![]() |
![]() |
![]() |
Position of Lesion Dictates Position of Osteotomy
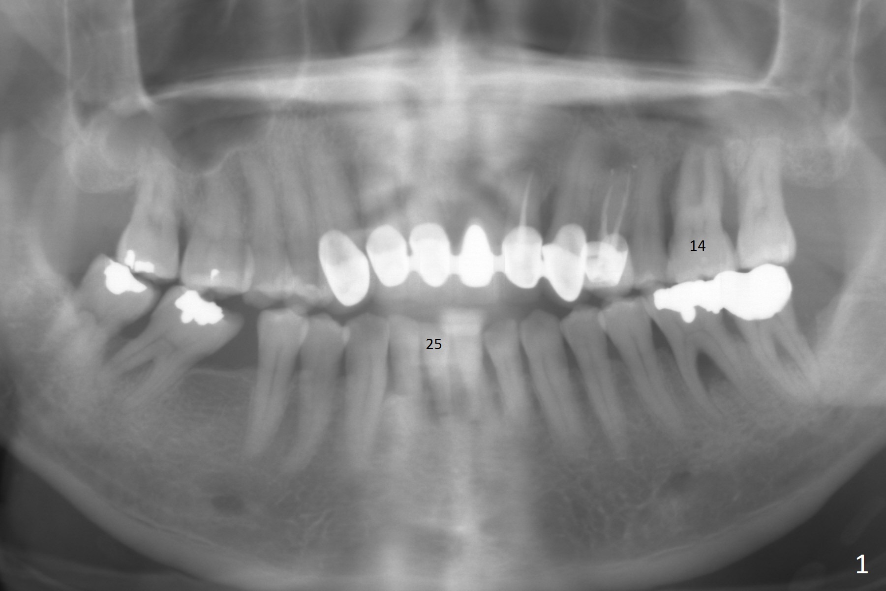
A 48-year-old man is determined to have implants for mobile teeth #14 and 25 (Fig.1). He is not pleased with the upper anterior FPD because of difficulty in cleaning. In addition to severe gingival recession (Fig.2), there is an abscess lingual to the tooth #25 (Fig.3). The latter should be associated with lingual plate defect. Osteotomy should be initiated in the center of the socket, in contrast to usual lingual starting point. A 3x16(4) mm 1-piece implant is to be placed unless the socket is small buccolingually or mesiodistally. Take PA immediately after his arrival for surgery to determine the mesiodistal width and the gingival thickness. The 2nd parameter will decide what parameter of the implant?
This patient is pleased to learn that an immediate provisional will be fabricated. The anterior open bite (Fig.2) will make the job easier.
Return to
Lower Incisor Immediate Implant,
IBS,
Metronidazole,
#14 Course 1
2
3
4
Xin Wei, DDS, PhD, MS 1st edition 06/05/2017, last revision 04/08/2018