![]() |
![]() |
Two Implants for Four Lower Incisors
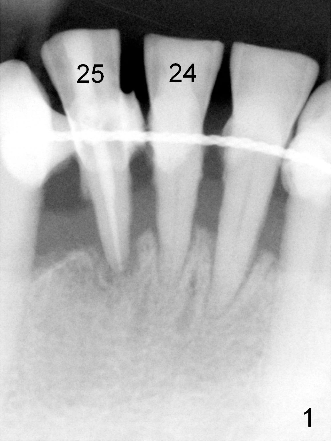
A 59-year-old man requests a partial denture after loss of #24 and 25, seven years after splintng (Fig.1,2). The remaining incisor (tooth #23) has mobility II. After discussion, he agrees with implant-supported FPD. Two of 1-piece implants will be placed at #23 and 25 (Fig.2) to avoid too-close complication. The first implant will be placed at #25. The socket of #23 will be treated with Clindamycin. Surgical and restorative stents are to be fabricated from the model made 7 year earlier (in the shelf of the lab). Use a 3x14 mm dummy implant for trajectory determination. Also prepare angled implants.
Return to
Lower Incisor Immediate Implant,
IBS,
Improvement
Xin Wei, DDS, PhD, MS 1st edition 08/26/2016, last revision 01/19/2018