![]() |
![]() |
![]() |
![]() |
![]() |
![]() |
Oval Pontic
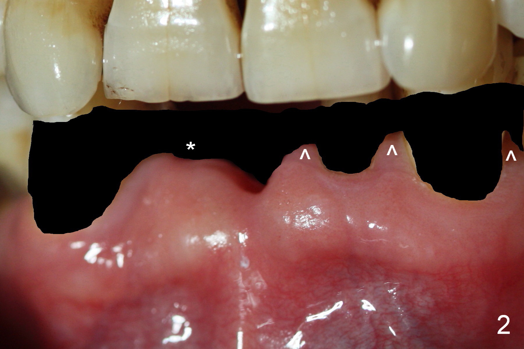
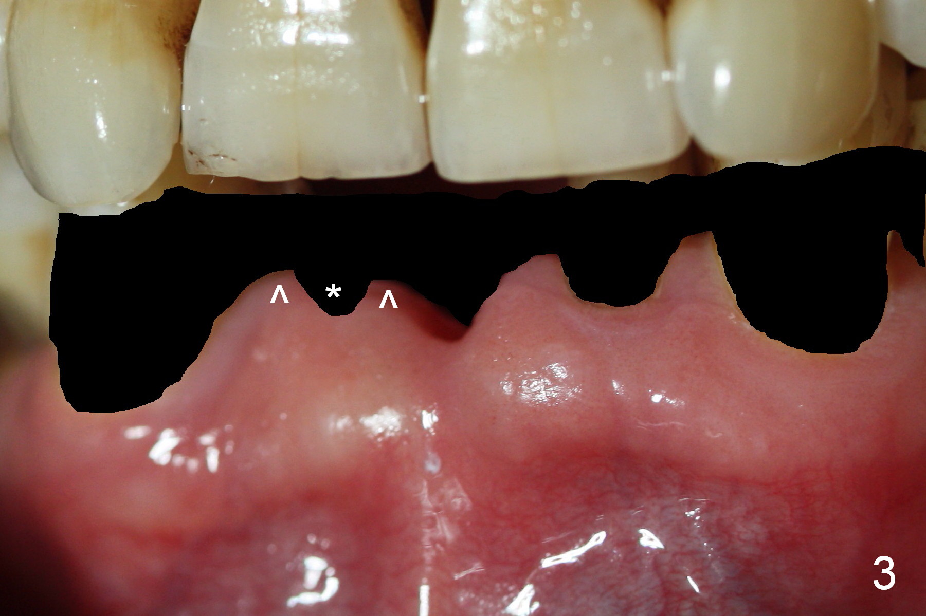
The teeth give the gingiva scallop shaped (Fig.1, 2). The scallop is less where the tooth is absent (Fig.2 *). The scallop must have been distinct when the tooth is just extracted with prominent papillae (Fig.2,3 ^).
One of the functions of an immediate provisional is to maintain and create the valleys and peaks of the gingival morphology (Fig.4-6). When the wound heals initially, the provisional should be modified (Fig.5 yellow curves) to push the gingiva aside (Fig.6 arrows) to create oval pontic and papillae (Fig.5).
Return to
Lower Incisor Immediate Implant,
IBS
Xin Wei, DDS, PhD, MS 1st edition 09/01/2016, last revision 09/01/2016