![]() |
![]() |
![]() |
![]() |
||
![]() |
![]() |
![]() |
![]() |
![]() |
![]() |
![]() |
![]() |
![]() |
![]() |
![]() |
![]() |
![]() |
![]() |
![]() |
![]() |
||
![]() |
![]() |
||||
Use Angled 1 Piece Implant as a Rescue One for a Lower Incisor
An extra large implant can be used as a rescue one when the previous implant fails postop. A straight 1 piece implant is usually suitable for a lower incisor. Should an intraop complication occurs during osteotomy, an angled 1 piece implant may be used immediately as a rescue one.
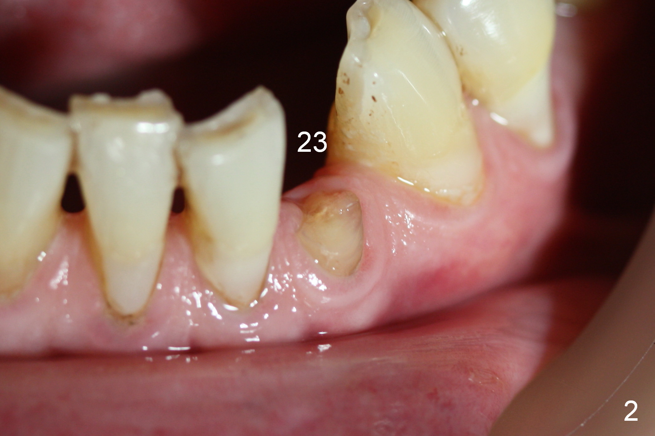
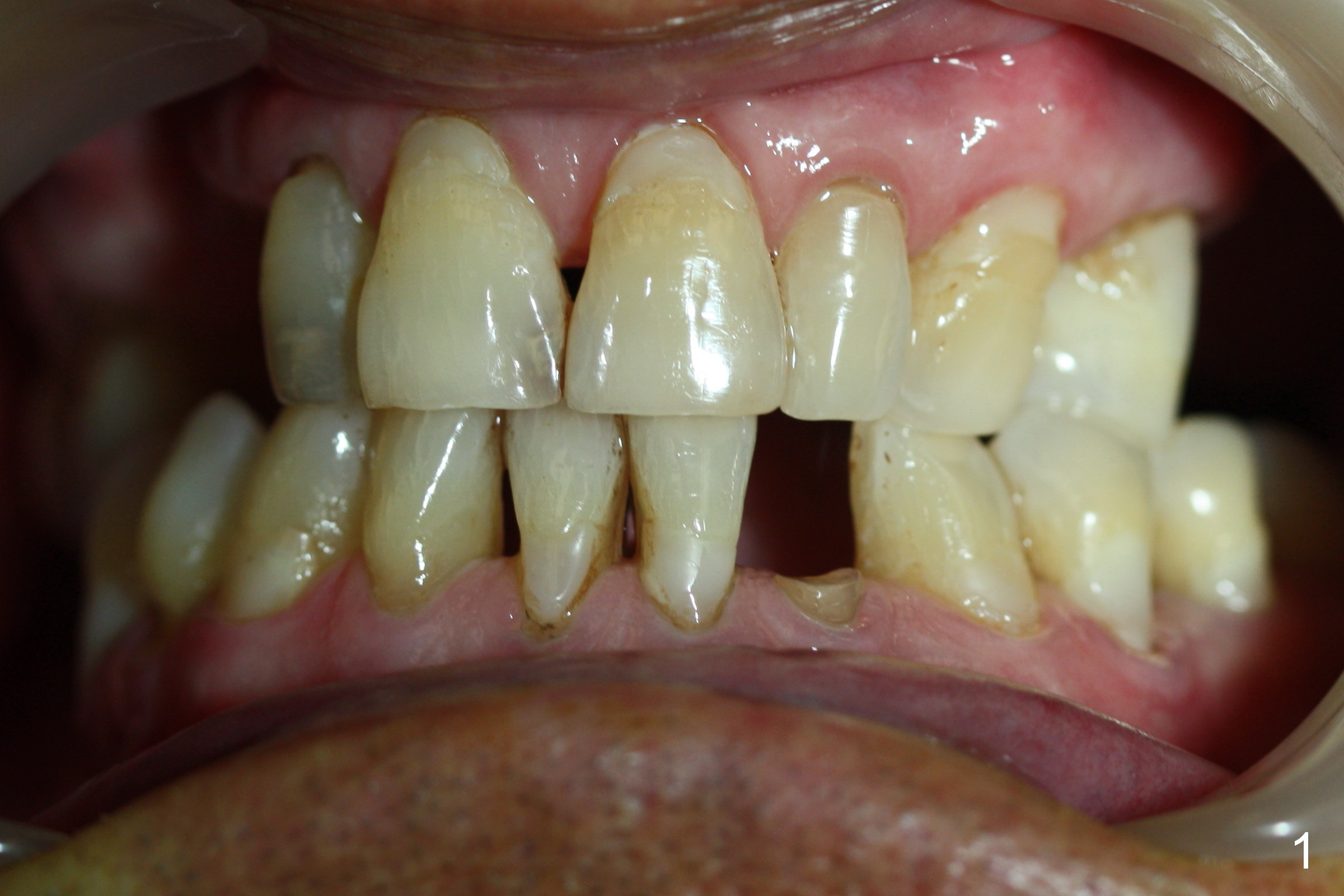
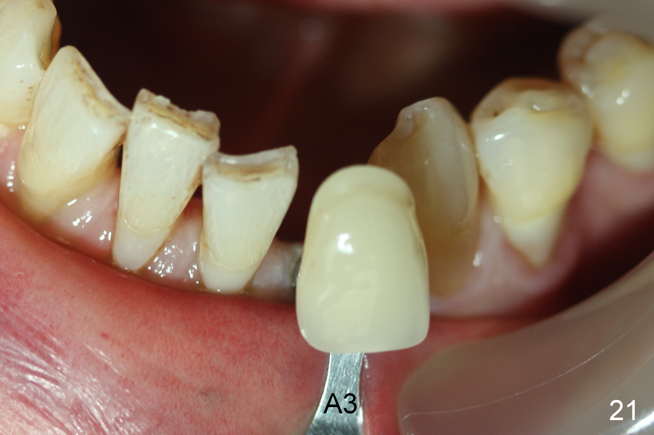
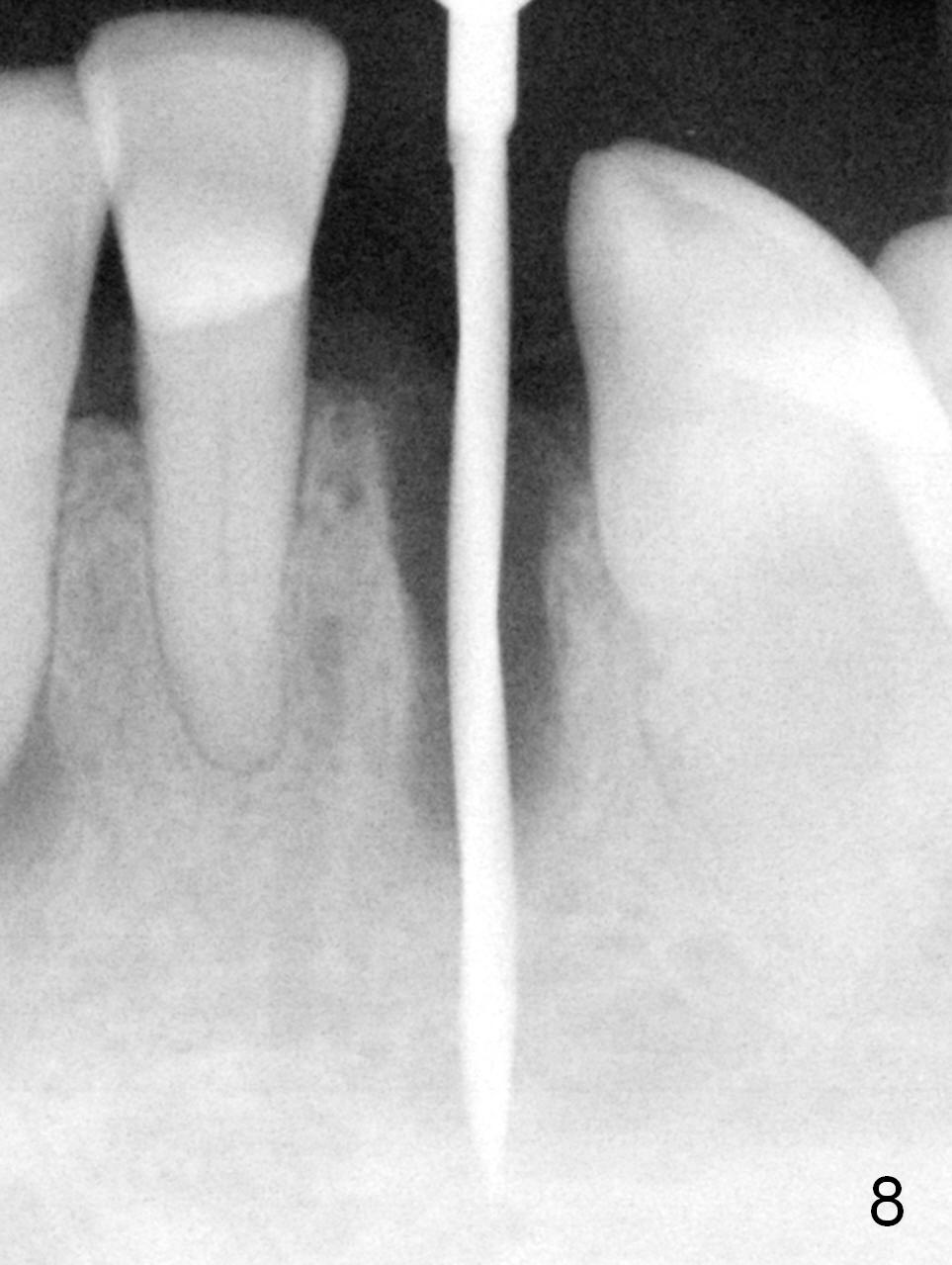
A 74-year-old man has several missing teeth (Fig.1). His 1st goal is to replace the lower left lateral incisor (Fig.2). The residual root has an apical lesion (Fig.3 *). To describe intraop findings, a CT image of a different patient is used (Fig.4 coronal section; B: buccal; L: lingual). After extraction, the buccal plate is found to be thin and low (Fig.5 arrowheads). A 1.5 mm pilot drill (Fig.6 red line) is used to initiate osteotomy in the lingual plate of the socket. Once the drill penetrates the lingual plate, the trajectory changes and the depth is 17 mm from the gingival margin (Fig.7). A PA is taken (Fig.8); it appears that the osteotomy can be extended more apically. When the pilot drill extends to 20 mm, there is sudden empty feeling. The lingual plate has perforated (Fig.9). A new osteotomy is established buccally (Fig.10 pink). To avoid buccal plate perforation, especially in the buccal undercut area (>), the coronal end of the drill has to be tilted buccally (<--). An angled abutment (3x20 mm, 15°) is placed (Fig.11,12). The abutment is modified (Fig.13,14) to accommodate an immediate provisional (Fig.15,16 P). Perio dressing is to be applied to prevent the bone graft from getting dislodged buccally (Fig.15). The dressing is in place 7 days postop (Fig.17).
Five months postop, the peri-implant space reduces (Fig.18). A keratinized band forms buccal to the implant (Fig.19 *). The provisional dislodges probably due to the buccal placement (Fig.20).
Return to Lower Incisor Immediate Implant,
Dr. Wu,
Technicians
Xin Wei, DDS, PhD, MS 1st edition 03/07/2015, last revision 01/19/2018