![]() |
![]() |
![]() |
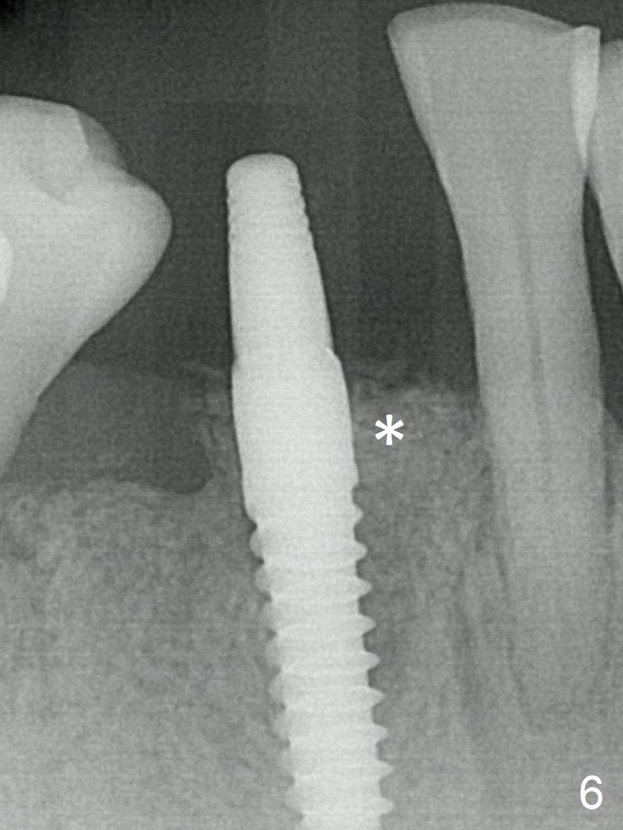
A 3x16(2) mm 1-piece implant is being placed as distal as possible (Fig.5 with 45 Ncm) with the mesial gap (*). The latter is filled with bone graft (Fig.6 *). The implant threads are not exposed 3 months 1 week postop (Fig.12).
Incisor or Canine? Last Next Xin Wei, DDS, PhD, MS 1st edition 04/01/2017, last revision 09/22/2018