![]() |
![]() |
![]() |
![]() |
![]() |
![]() |
Extremely Large Calculus
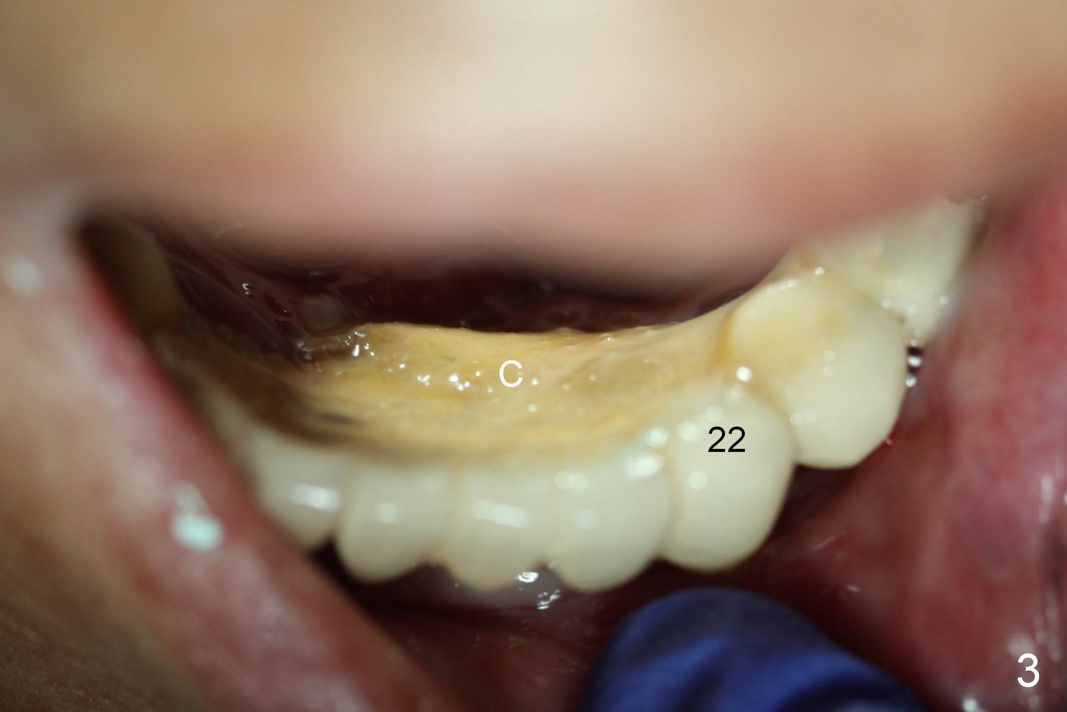
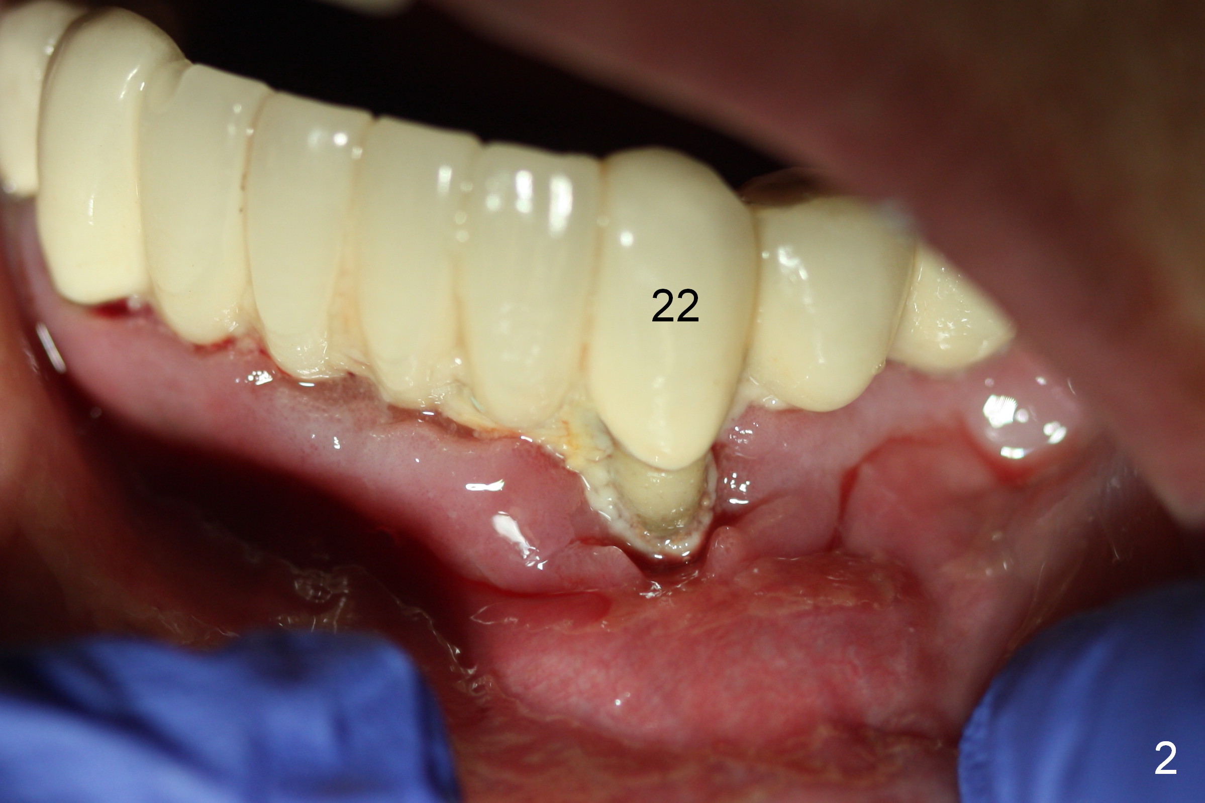
A 72-year-old woman has severe pain associated with one of three abutments of a long-spanned bridge (Fig.1,2: #22). The lingual calculus is extremely large (Fig.3 C). When the bridge is sectioned between #26 and 27, the tooth #22 is easily separated from the socket (Fig.4). In fact, the large supragingival calculus causes hemorrhagic indentation in the lingual vestibule (Fig.5,6: I). Due to finance, socket preservation is done at #22 with 6-month collagen membrane buccally and .5-1.5 mm allograft and collagen plug (Fig.6 *).
Return to
Lower Canine Immediate Implant, IBS
Xin Wei, DDS, PhD, MS 1st edition 08/30/2016, last revision 01/19/2018