![]() |
![]() |
![]() |
![]() |
![]() |
Mesiolingual Placement
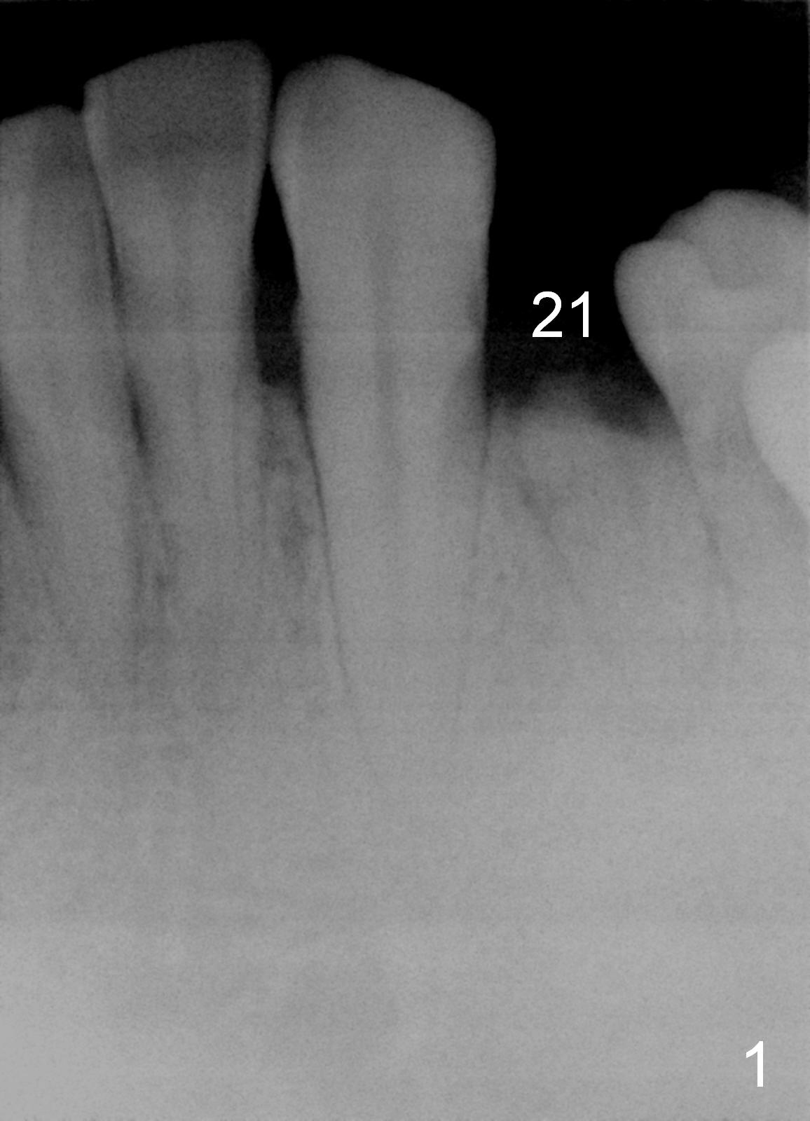
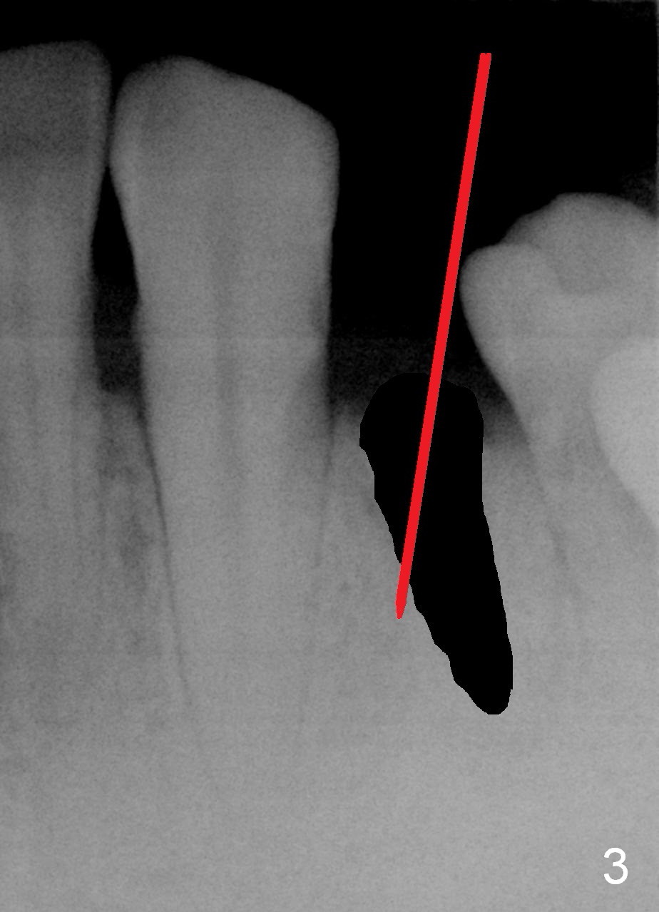
A 48-year-old man requests restoring the fractured tooth #21 (Fig.1). The socket seems to be oblique (Fig.2, no Antibiotic). Also considering the thin buccal plate, the initial osteotomy should be established in the mesiolingual slope (Fig.3). Change the trajectory once the entry is made (Fig.4) and take PA for confirmation. A 4x13 mm implant is to be placed (Fig.5). Why should the implant placed lingually? In fact the implant is placed too lingually. What is the reason?
Return to
Lower Premolar Immediate
Implant, IBS
Xin Wei, DDS, PhD, MS 1st edition 09/07/2016, last revision 09/14/2016