![]() |
![]() |
![]() |
![]() |
|
![]() |
![]() |
![]() |
![]() |
![]() |
Difficult to Place Implant Deep
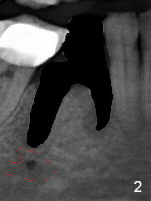
The patient returns for implant placement 11 months post extraction of #28 and 29. With flapless manner, initial osteotomy happens to drop into the original socket of #28 (Fig.4). After use of 3.3 mm Magic Drill (MD) and Final Drill for 15 mm, a 4x11 mm dummy implant is placed (Fig.5). It appears that the implant is long for the site (red dashed line: Mental Loop). However, a definitive implant (4x9 mm, IBS) has difficulty to reach its depth (Fig.6). After several rounds of untorque and retorque, the implant does not seat completely (Fig.7, implant driver disengagement) with autogenous bone placed distal (>). Retrospectively, a larger MD should have been used (3.8 mm) for complete seating in the dense bone. In fact she is post breast cancer treatment with 50% chance of relapse. The patient returns for follow up 1.5 months postop (Fig.8). The wound has healed. Impression is taken 5 months postop (Fig.9). When the crown is cemented, food impaction is an issue between the implant crown and crown at #30. Since the tooth #30 is mesially tilted with distal open margin and apical infection, the tooth will be extracted. Osteotomy is going to be initiated in the mesial slope of the mesial socket (Fig.9 red line). An implant will be placed more or less in the mesial socket (green box).
Return to Lower Premolar Immediate Implant Armaments Xin Wei, DDS, PhD, MS 1st edition 12/06/2016, last revision 07/14/2018