Long Roots Long Implant

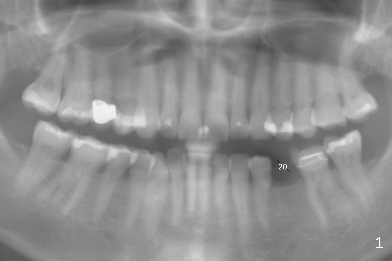
A 54-year-old woman has good oral hygiene.  Panoramic X-ray shows generalized long roots, which suggest bruxism (Fig.1).  Since the bone height is sufficient, a long implant will be placed, probably 4x13 mm (Fig.2).  Take photos of the edentulous space, concentrating on the ridge top.  Flap surgery will be performed.  Crestal bone is going to be reduced if the ridge is narrow.  PA is taken after 1.6 mm drill for 11 mm.  If the trajectory is correct, a 3.3 mm Magic Drill is to be used (13 mm stopper, after Marking bur), followed by 4x11 mm dummy implant.  If the bone is dense, a final drill will be used for 14 mm before placement of the definitive implant.  The harvested autogenous bone will be placed around a pair abutment to increase the buccolingual width.  Take postop photos to show the ridge augmentation.

Return to Lower Premolar Immediate Implant, IBS

Xin Wei, DDS, PhD, MS 1st edition 04/12/2017, last revision 04/14/2017