![]() |
||
![]() |
![]() |
![]() |
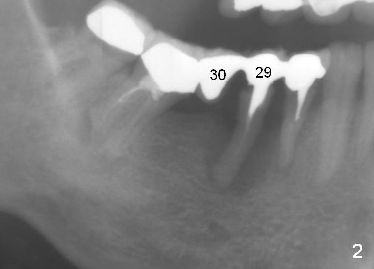
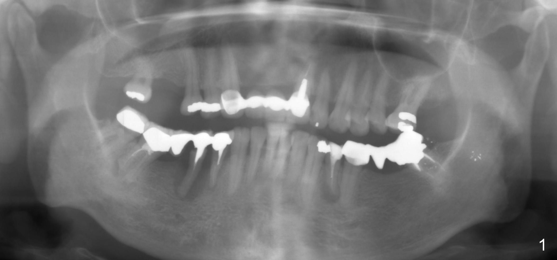
Endo Perio Disease
A 50-year-old lady (ZC) has poor dentition (Fig.1). The buccal gingiva of the tooth #29 is erythematous and edematous with deep pockets and severe bone resorption (Fig.2). Two units of the 5-unit bridge is going to be removed (Fig.3). A large implant is to be placed at the site of #29 (socket treated with Metronidazole), while a small one (probably 1-piece) at #30 (narrow mesiodistal space, Fig.4 green outlines). Be care of the mental loop (red dashed line). In fact, the patient wants to have #3 implant placed first.
Return to Lower Premolar Immediate Implant
Xin Wei, DDS, PhD, MS 1st edition 09/13/2015, last revision 09/23/2015