![]() |
![]() |
![]() |
|
![]() |
![]() |
![]() |
![]() |
![]() |
|||
Short Delayed Implant
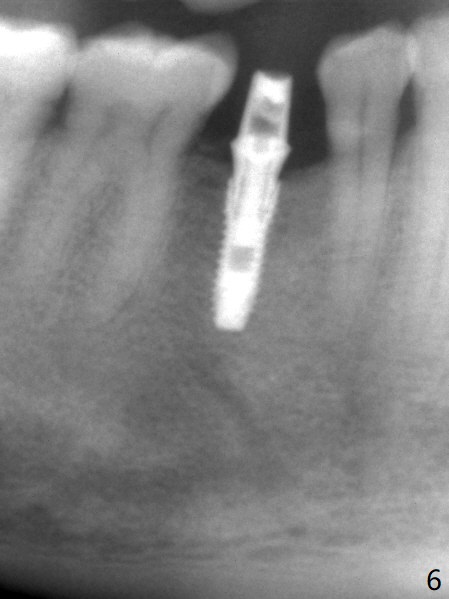
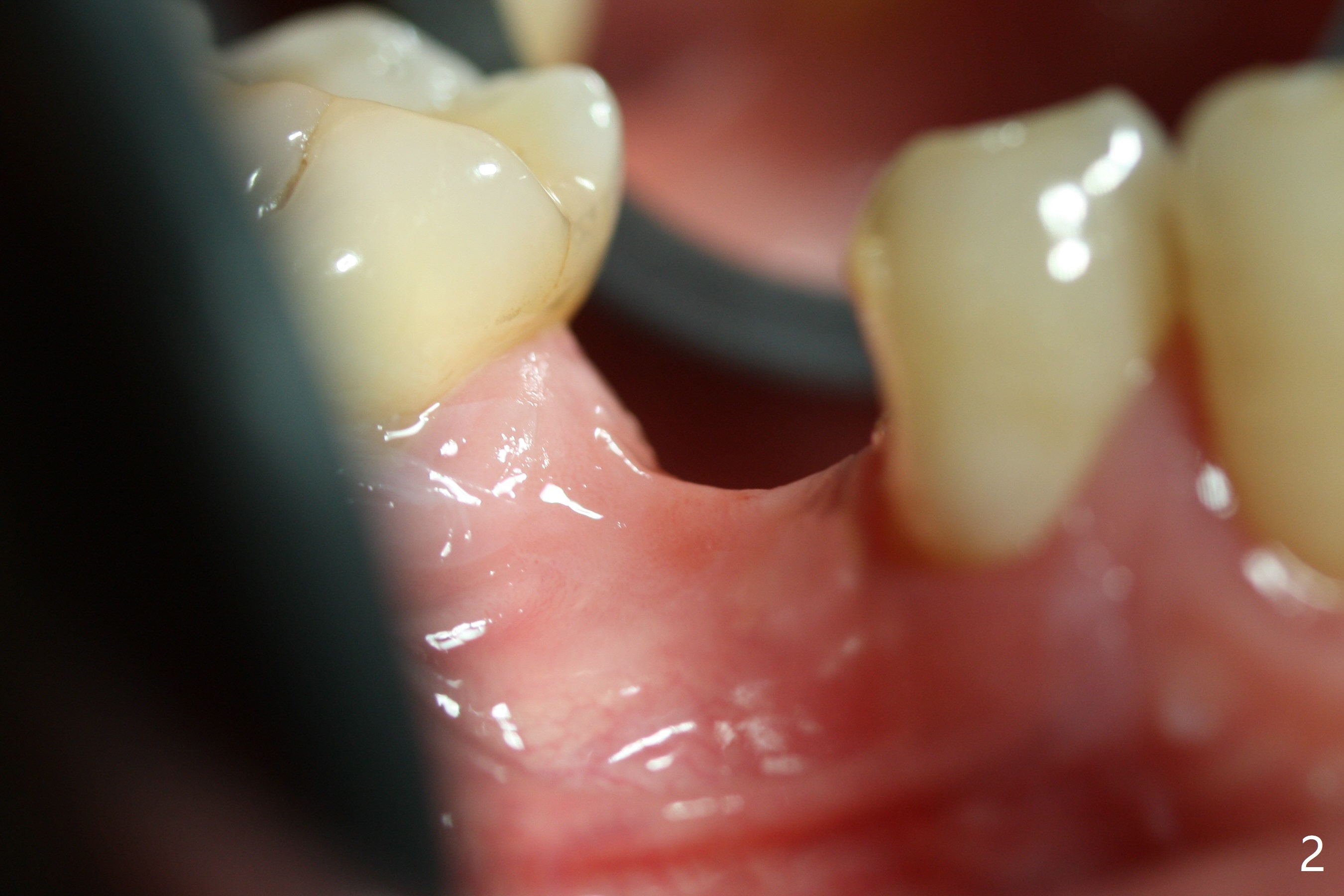
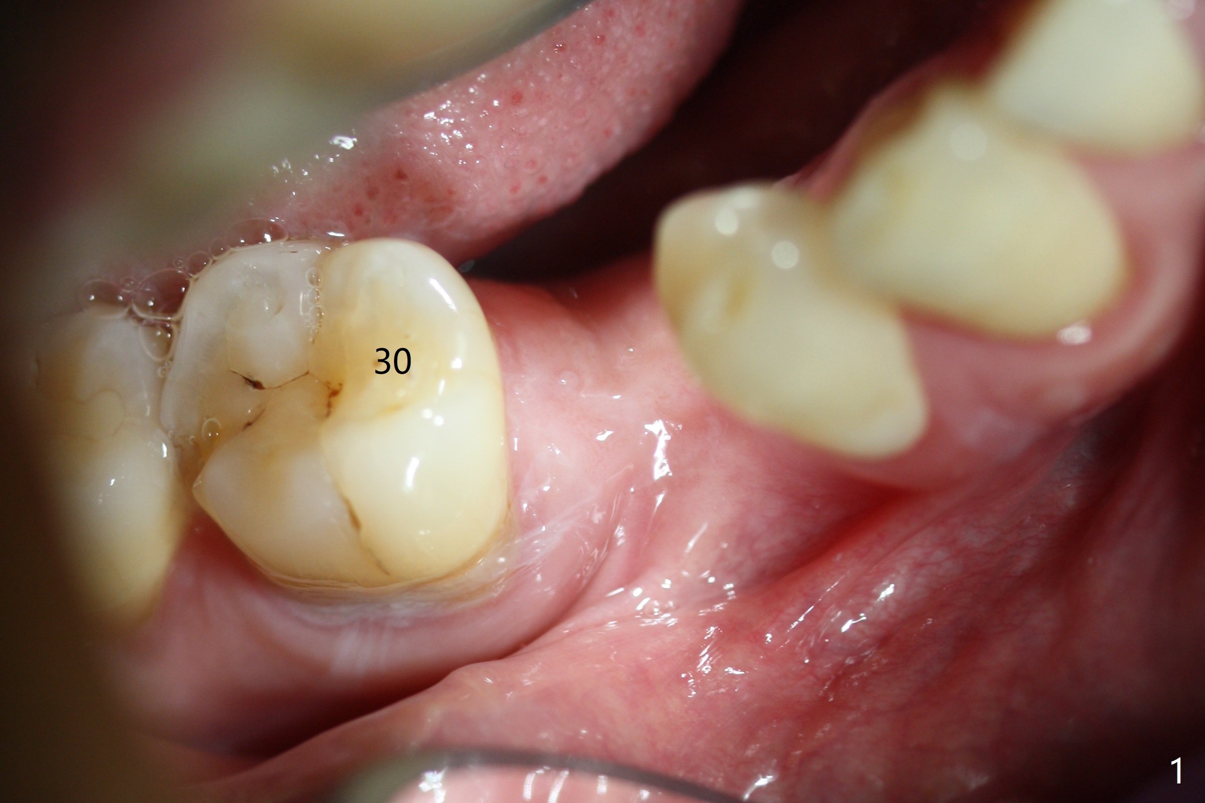
The base of the edentulous ridge at #29 looks wide (Fig.1), but the most coronal portion is the thin soft tissue (Fig.2). It appears that there has been bone resorption since extraction. The initial osteotomy depth is 11.5 mm (Fig.3). Since the Mental Loop seems to be nearby, the depth of subsequent osteotomy (3 mm) remains the same (Fig.4). Although the final depth of osteotomy is 13 mm, the implant placed is short (3.8x11.5 mm, Fig.5,6), as compared to the immediate implant (3.8x18 mm) at the contralateral side (#20). There is mild bone resorption mesially 4 months postop (Fig.7). The crown is loose (poor osteotomy position, guide necessity) 7 months post cementation immediately prior to 18 cementation, although there is no gross bone losss 1 year 7 months post cementation (Fig.8).
Return to Lower Premolar Immediate Implant, IBS, 14 Trajectory
Xin Wei, DDS, PhD, MS 1st edition 09/21/2017, last revision 09/04/2019