![]() |
![]() |
![]() |
Small Diameter Implant
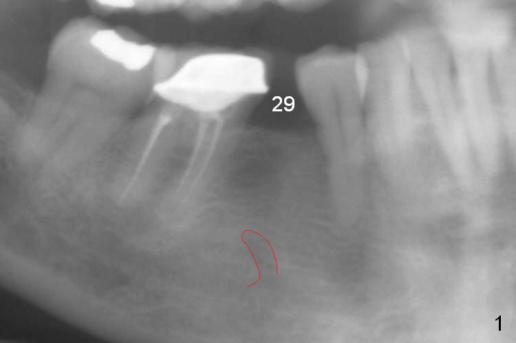
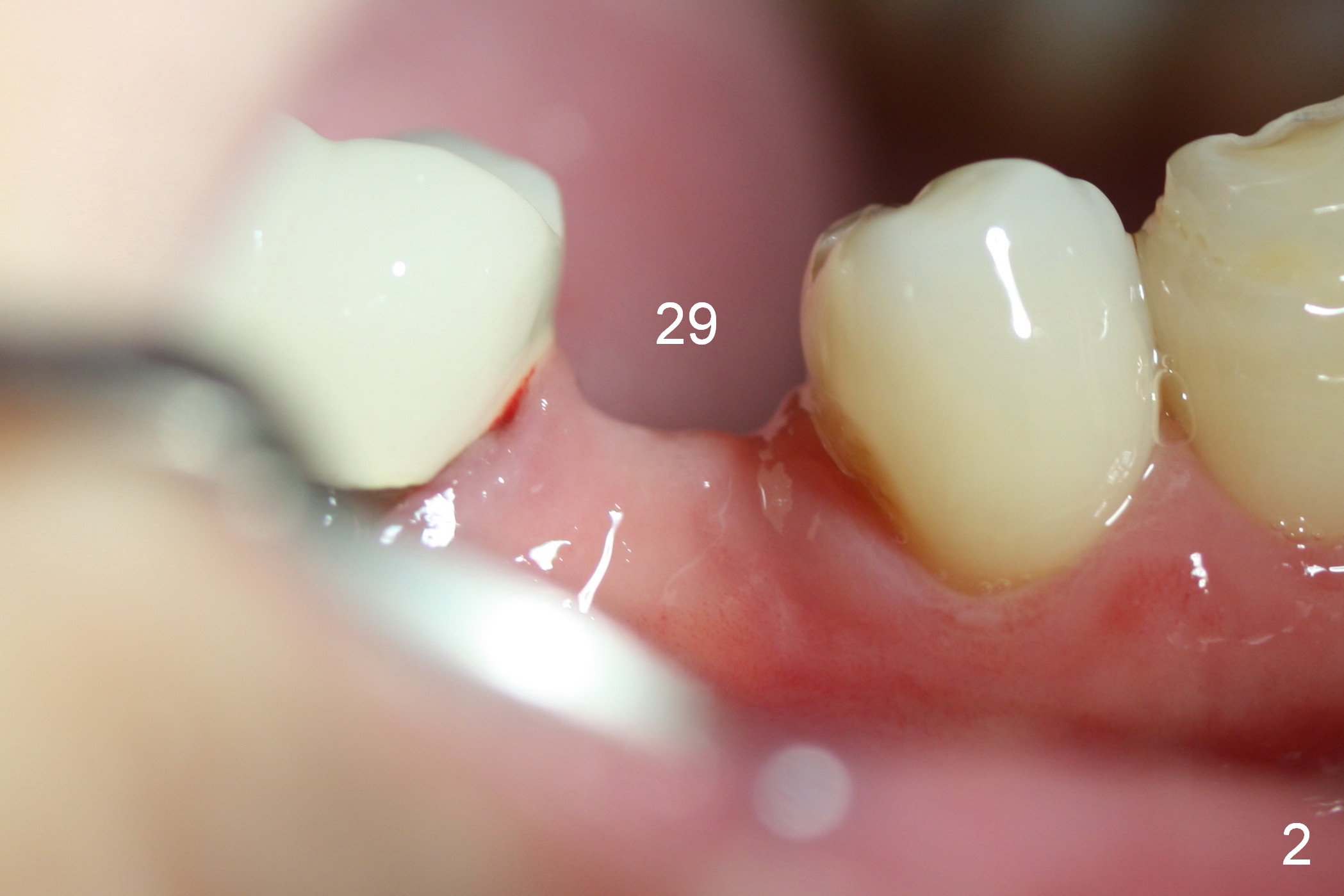
A 57-year-old woman will return for implant placement at #29, which has narrow space mesiodistally (Fig.1,2), buccolingually (Fig.3) and vertically (Fig.1, i.e., close to the Mental Loop (red outline)). Use a 2.5 or 3 mm tissue-punch from the 1-piece implant kit for access. After removal of the gingival tissue at the access, measure the tissue depth. To avoid complication associated with the narrow ridge, an incision approach appears more appropriate. The initial depth will be 12 mm using 1.2 mm drill and take PA.
Return to Lower Premolar Immediate Implant, IBS 劈开术 手术
Xin Wei, DDS, PhD, MS 1st edition 09/10/2016, last revision 04/10/2021