![]() |
![]() |
|
![]() |
![]() |
|
Gingival Recession Associated with Root Fracture
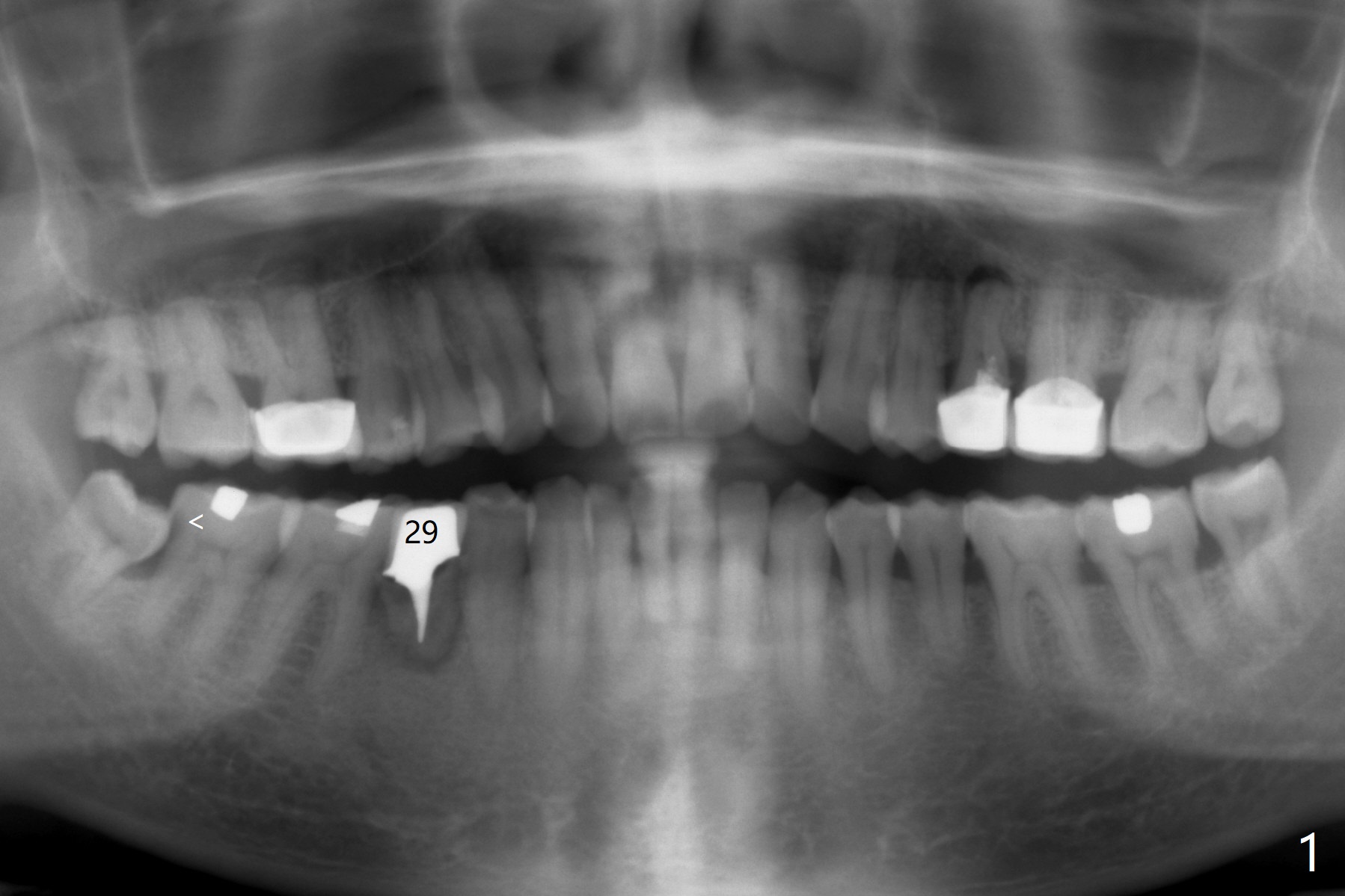
When a 46-year-old man presents with new patient examination, the tooth #29 has root fracture with a crown in place (Fig.1). A year later when he returns for #32 extraction, the crown is lost with displacement of the distobuccal (Fig.2,3 DB) portion of the root. The gingival recession is severe. When the root is removed, an implant will be placed as lingual as possible (Fig.5 white circle). Magic Drill 3.3 mm will be used for osteotomy (without 1.6 mm drill). Trajectory and depth will be tightly controlled while starting and advancing the drilling (one shot). Take PA following partially inserting a 4x11 mm dummy implant.
Return to
Lower
Preolar Immediate Implant,
IBS,
Antibiotic
Xin Wei, DDS, PhD, MS 1st edition 04/02/2017, last revision 11/04/2019