![]() |
![]() |
![]() |
|
![]() |
![]() |
||
![]() |
![]() |
![]() |
![]() |
Molar Implants
A 64-year-old man has lost 4 molars (Fig.1 posterior view of mounted casts) and is eager to have them back. Implants will be placed at #18 and 19 first (Fig.2). Use surgical stent and starter drill to initiate osteotomies through the gingiva. An incision will be made next. Adjust buccolingual position of the osteotomies. Depth will be 10 and 12 mm at #18 and 19, respectively. Take postop panoramic X-ray for #30 and 31 implant design.
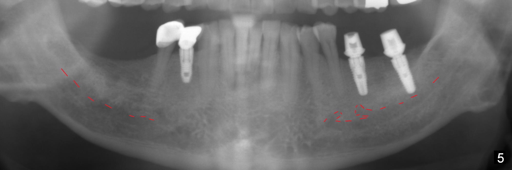
In fact, initial depth for #18 and 19 is 12 mm, quite close to the Inferior Alveolar Canal at #18 (Fig.3 (red dashed line: the superior border of the former). By mistake, the implant at #18 is placed a little deeper than necessary, since the buccal bone is inferior to the lingual one (Fig.4; 5.3x12 mm vs. 5.0x12 mm for #19). As planned, panoramic X-ray is taken immediately postop. Bone height at the 2nd molar decreases drastically as compared to that of the 1st molar, especially on the right side (Fig.5 (abutments: 6.8x5(2) mm for #19, 7.8x5(3) for #18, respectively)). For #30,31 implant placement, initial depth will be 10 and 8 mm, respectively. Follow it faithfully. The implant at #31 could be as large as 5.9 or 6.4 mm to compensate for the length.
One month later, the patient returns for #30 and 31 implant placement. As planned, the initial depth is 10 and 8 mm (Fig.6). What is unexpected is deficiency in ridge width. Narrower implants (as compared to those on the left) are placed (Fig.7: 4.5x12 and 4.5x10 mm). With shorter implants, the implants are later placed deeper (as shown by arrows in Fig.7) so that almost all of the microthreads are buried in the bone. It is expected that there is less chance of thread exposure postop. The later turns out to be true 3.5 months postop (Fig.8 with 6.8x5(3) mm abutments). It appears that the abutment margin is supragingival (white dashed line: gingival margin) and should be trimmed prior to impression. Or change the abutments to ones with shorter cuff. It may be so for those at #18 and 19 (Fig.9: 4 months postop). Custom full arch trays will be used for impression with bite registration. In fact the mesial margin of #19 abutment is ~ 2 mm subgingival. A longer-cuff abutment is used (6.8x5(3) mm) at #19 before impression.
Return to Lower Molar Immediate Implant
Xin Wei, DDS, PhD, MS 1st edition 11/21/2015, last revision 01/19/2018