![]() |
![]() |
![]() |
|
![]() |
![]() |
![]() |
|
![]() |
![]() |
![]() |
|
![]() |
![]() |
![]() |
|
Molar Implants as Anchorage for Bicuspid Upright
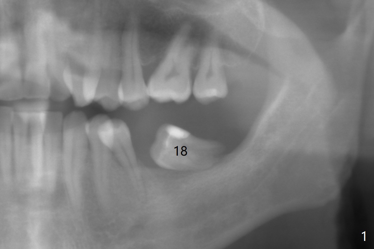
A 43-year-old man has poor dentition on the left: 1st molar missing, 2nd molar mesial inclination (Fig.1) and 2nd bicuspid lingual tilt (Fig.2). The latter is nonfunctional (Fig.3 (linguoposterior view). Two molar implants will be placed in a position so that their crowns will be in cross bite (Fig.4,5), the same occlusal scheme as the teeth #21 and 22. When these implants osteointegrate, the provisional crowns (Fig.6 P) will be supraocclusal so that there is clearance (*) for #20 to upright orthodontically (Fig.7-9). Moreover, these implants will be used anchorage as well as #21 and 22. Panoramic X-ray (Fig.1) and CBCT (Fig.10-12) show limited bone height at the sites of #18 and 19. It appears that 5x8 and 5.9x6 mm implants are appropriate with ridge reduction at #19.
Return to
Lower
Molar Immediate Implant, Prevent Molar Periimplantitis (Protocols,
Table), IBS,
No Antibiotic,
#3,4
Xin Wei, DDS, PhD, MS 1st edition 10/08/2017, last revision 03/22/2018