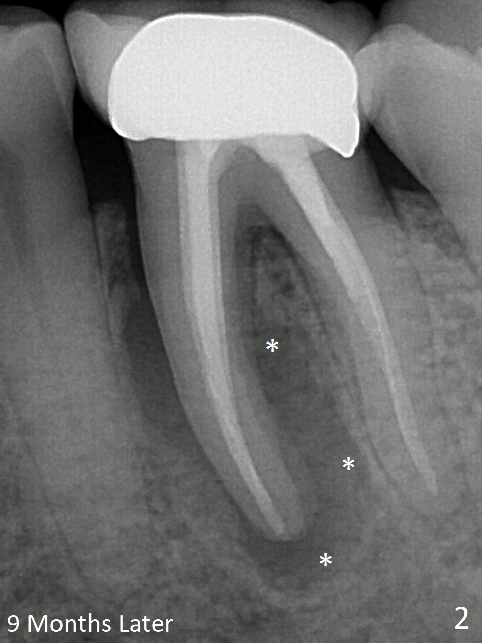
In 9 months more septal bone is lost (Fig.2 *, as compared to Fig.3).

18 mm Fixture Bone Shorter Than Expected Last Next

Xin Wei, DDS, PhD, MS 1st edition 03/05/2017, last revision 08/25/2018