![]() |
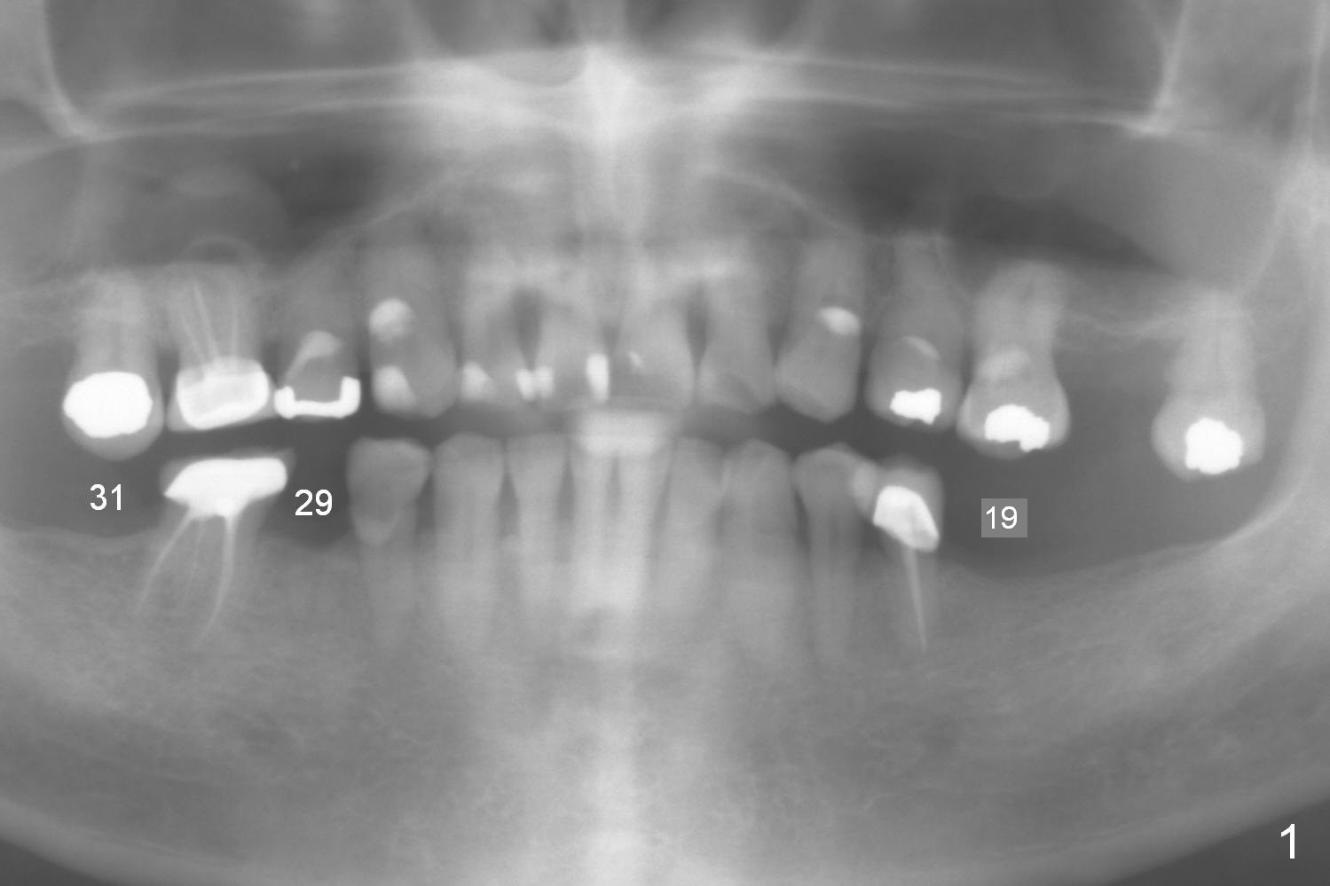
Early Loading for Intrusion A 66-year-old man has 3 missing teeth (Fig.1: #19,29,31) with supraerupted opposing teeth. Because of sufficient bone height (Fig.2: 13 mm (preferably 15 mm) fixture) and special fin pattern of IBS implant (stability), early loading (2 months, as opposed to 3 months in a previous case) is possible with a provisional to be placed at #19 to intrude the tooth #14. Start with Magic Split for access, bone density test and bone expansion if necessary. Place the implant deep. If primary stability is high, fabricate an immediate provisional with occlusal clearance. Reline the provisional for occlusal contact 2 months postop. Reline the provisional again so that it is able to intrude the tooth #14. Return to
Lower
Molar Immediate Implant,
Implant & Ortho
2
Xin Wei, DDS, PhD, MS 1st edition 03/19/2017, last revision 05/07/2017 |
![]() |