![]() |
![]() |
Large Bony Defect
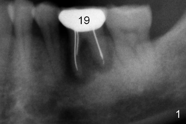
A 50-year-old man (CZ) requests implant restoration at the tooth #19 (Fig.1). After Metronidazole, a large (5 mm and up) immediate implant is going to be placed deep (Fig.2 green) with an abutment (blue) with long cuff (3 or 4 mm, pink). A large amount of bone graft (red) placed around the implant and against the distal root surface of #20. Osteotomy is initiated in the septum. If the height of the latter is more than 7 mm (take preop PA), set stopper at 7 mm (shortest). Otherwise open Magic Sinus Kit or Sinus Master Kit (shortest stopper 1 and 2 mm, respectively). Also take preop photos to show whether there is buccal or lingual gingival recession. Two dummy implants (5x9, 5x11 mm) will try in. If they are placed too deep, more than 4 mm from the gingival margin, switch to UF or SM. The cemented abutment's cuffs are longer, 5 or 6 mm.
Return to
Lower Molar Immediate Implant,
Prevent Molar Periimplantitis (Protocols,
Table),
IBS,
1st Year, Course
1
2
Xin Wei, DDS, PhD, MS 1st edition 07/29/2016, last revision 09/06/2018